Vì sao nên lựa chọn niềng răng trong suốt Invisalign?
Thẩm mỹ 100% do khay niềng răng hoàn toàn trong suốt
Tiện lợi, dễ dàng tháo lắp khi ăn uống và vệ sinh răng miệng
Hiệu quả mang lại cao
Hạn chế tới gặp bác sĩ, phù hợp với người bận rộn
Những đối tượng phù hợp niềng răng trong suốt Invisalign
Khớp cắn sâu
Khớp cắn sâu là khi các răng cửa hàm trên che phủ gần như hoàn toàn các răng cửa hàm dưới của bạn.
Khớp cắn hở
Nếu hàm trên và hàm dưới của bạn không chạm nhau khi bạn ngậm miệng lại, đây là tình trạng khớp cắn hở.
Khớp cắn ngược
Khớp cắn chéo
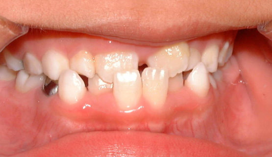
Răng chen chúc
Răng khấp khểnh
4Lý do nên niềng răng tại NHA KHOA THÚY ĐỨC
Bác sĩ Phạm Hồng Đức trực tiếp thăm khám và điều trị
Có chứng chỉ AAO của Hiệp hội chỉnh nha Hoa Kỳ
Đạt thứ hạng Diamond Provider trên bản đồ Invisalign thế giới
Theo học các khóa học nước ngoài đào tạo chuyên sâu về chỉnh nha
Kinh nghiệm hơn 3500 ca chỉnh nha thành công
Sử dụng iTero 5D hiện đại nhất thế giới
Phòng khám đầu tiên sở hữu công nghệ lấy dấu răng nhanh và chính xác gấp 3 lần các phiên bản iTero trước kia: không chỉ biết trước kết quả niềng, quá trình dịch chuyển mà còn phát hiện mọi bệnh lý để kịp thời bảo vệ răng miệng.
Hệ thống điều trị chỉnh nha kỹ thuật số tiên tiến nhất trên thế giới: phần mềm Clincheck, Miếng đệm răng SmartForce, Vật liệu SmartTrack
Quy trình niềng 6 bước chặt chẽ bảo đảm quyền lợi tuyệt đối cho khách hàng
Trả góp linh hoạt 0%, trực tiếp với phòng khám, thanh toán chi phí còn lại trong 09-12 tháng
Kết quả sau khi niềng răng INVISALIGN của khách hàng
Cảm nhận khách hàng sau khi niềng răng trong suốt Invisalign?
Ngô Thanh Hương
Tú Anh
Vũ Thu Hà
Đăng ký tư vấn bởi dr.đức
ƯU ĐÃI LÊN TỚI 20%
NHANH TAY LÊN NÀO!
Cơ hội hiếm hoi từ dr. Đức dành cho khách hàng đăng kí ngay hôm nay.










