Ngày càng có nhiều người tìm đến nha khoa để niềng răng thẩm mỹ, biến những hàm răng khấp khểnh, hô, móm,…trở nên đều, đẹp và khỏe mạnh hơn. Nhưng đôi khi, một vài sự cố có thể xảy ra trong quá trình niềng răng khiến chúng ta lo lắng. Ở bài viết này, Nha khoa Thúy Đức đề cập đến hiện tượng tụt lợi sau niềng răng, nguyên nhân và cách cải thiện khi gặp phải tình trạng này. Mời các bạn theo dõi để biết thông tin chi tiết.
Mục lục
Tụt lợi là gì? Dấu hiệu nhận biết
Tụt lợi thực sự rất phổ biến. Nó xảy ra dần dần, nên nhiều người bị tụt lợi nhẹ nhưng thậm chí không hề biết điều đó.
Khi bị tụt lợi, chân răng trở nên nhạy cảm hơn với thức ăn nóng, lạnh, cay, ngọt hoặc có tính axit. Vì vậy, một trong những dấu hiệu đầu tiên để nhận biết tụt lợi đó là tình trạng răng ê buốt. Nhìn bằng mắt thường, răng trông dài hơn trước, bạn cũng có thể nhận thấy phần răng sát đường viền nướu có màu xỉn hơn.
Về lâu dài, tụt lợi sẽ làm hở kẽ răng, khiến cho thức ăn dễ bị dắt vào những khe kẽ này, gây ra các bệnh lý răng miệng nghiêm trọng, điển hình là viêm nha chu, làm tăng nguy cơ mất răng trong tương lai.
-
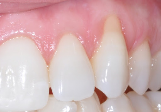
![Tụt lợi là gì? Dấu hiệu nhận biết 1 Tụt lợi là gì? Dấu hiệu nhận biết 1]()
Tụt lợi hàm trên dễ nhận thấy nhất và cũng mất thẩm mỹ nhất.
-
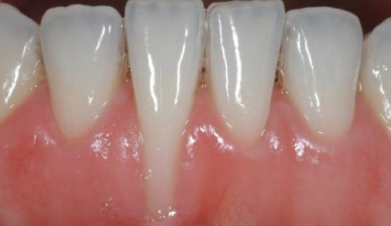
![Tụt lợi là gì? Dấu hiệu nhận biết 2 Tụt lợi là gì? Dấu hiệu nhận biết 2]()
Tụt lợi hàm dưới khó phát hiện hơn hàm trên bởi cả răng và lợi đã được môi dưới bao phủ.
Các dấu hiệu nhận biết tụt lợi:
- Lợi bị sưng đỏ, có những cơn đau nhẹ
- Chảy máu chân răng sau khi đánh răng hoặc ấn nhẹ vào lợi
- Chân răng lộ ra ngoài, khi sờ vào răng thấy lung lay nhẹ
- Đau buốt, ê, nhức răng khi ăn, uống đặc biệt là đồ nóng, lạnh
- Hôi miệng cũng là dấu hiệu thường thấy khi lợi bị tụt
Tại sao niềng răng có thể gây tụt lợi?
Có một số lý do có thể dẫn tới tình trạng tụt lợi khi niềng răng.
(1) Nguyên nhân đầu tiên chúng ta cần xem xét đó là do kỹ thuật niềng răng không đảm bảo. Nếu như lực kéo căng của mắc cài không được điều chỉnh phù hợp với mức độ chịu đựng của răng, răng bị lực mạnh tác động lên hoặc di chuyển đột ngột sẽ khiến lợi tổn thương, gây ra tụt lợi. Thậm chí, kỹ thuật niềng răng không đảm bảo còn có thể khiến chân răng bị lung lay, răng chết tủy, ảnh hưởng không nhỏ tới sức khỏe răng miệng và hiệu quả của quá trình niềng răng.
(2) Thứ hai, một số ý kiến cho rằng, sự di chuyển của răng trong quá trình niềng răng cũng ảnh hưởng tới nướu và gây ra tình trạng tụt lợi. Bên cạnh đó, việc đeo niềng răng gây căng thẳng cho lợi, khiến nhiều người thấy đau và khó chịu trong thời gian đầu, dẫn đến việc lợi bị tách ra và tụt sâu xuống.
(3) Theo nhiều chuyên gia nha khoa cho biết, chỉ niềng răng sẽ không ảnh hưởng quá nhiều đến vấn đề tụt lợi, mà cách bạn chăm sóc răng miệng trong suốt thời gian chỉnh nha mới là nguyên nhân chủ yếu gây ra hiện tượng này. Khi các mắc cài được gắn cố định trên răng, bạn sẽ gặp nhiều khó khăn trong vấn đề chải răng hằng ngày. Nếu như bạn không thể làm sạch răng miệng, mảng bám sẽ bị giữ lại tạo thành cao răng và dẫn tới các bệnh về nướu, gây ra tụt lợi.
Vì vậy, để giữ cho nướu của bạn khỏe mạnh trong khi đeo niềng răng, hãy đảm bảo làm theo tất cả các hướng dẫn của bác sĩ nha khoa để làm sạch răng miệng đúng cách.
⇒ Đọc thêm: 10 điều bạn nhất định phải biết trước khi quyết định niềng răng
Tụt lợi có thể để lại hậu quả gì?
Sau niềng răng, chắc chắn bạn sẽ tự tin hơn với diện mạo mới khi sở hữu hàm răng đều tăm tắp. Thế nhưng, tình trạng tụt lợi có thể khiến bạn lo lắng. Điều này rất dễ hiểu bởi tụt lợi làm phần chân răng dài ra trông thấy. Nó không chỉ ảnh hưởng tới tính thẩm mỹ của hàm răng mà còn tiềm ẩn nhiều rủi ro khác.

Lợi bị tụt xuống làm lộ ra phần chân răng dài. Khu vực chân răng có nguy cơ bị sâu gấp 8 lần so với bề mặt răng ở phía trên. Nguyên nhân là bởi, phần chân răng có lớp men yếu hơn với mật độ khoáng thấp (chỉ 40%), trong khi phần răng ở trên có lớp men khỏe hơn, mật độ khoáng chiếm tới 97%.
Lớp men răng ngay cạnh chân răng mềm, nhạy cảm và dễ bị bào mòn. Lớp men răng được coi như chiếc áo giáp sắt bảo vệ răng khỏi các tác nhân gây hại. Khi lớp men răng này không còn nữa hoặc bị mỏng đi sẽ làm lộ ra phần ngà răng, tiếp xúc trực tiếp với môi trường bên ngoài, các loại thực phẩm dẫn đến ê buốt khi ăn uống, đặc biệt là đồ nóng hoặc lạnh.
Với những trường hợp men răng bị mất một cách đột ngột, tổn thương gây ra cho răng lúc này là quá lớn bởi người bệnh không thể phát hiện và chữa trị kịp thời. Thêm vào đó, khi chân răng bị lộ ra, các kẽ hở lớn được tạo thành sẽ là nơi để thức ăn bám dính vào. Nếu vệ sinh không sạch sẽ vi khuẩn tịch tụ lại có thể gây ra các bệnh lý răng miệng nguy hiểm, đồng thời gây bất lợi cho việc điều trị về sau.
Bị tụt lợi khi niềng răng, cách xử lý thế nào?
Để điều trị tụt lợi, trước tiên bác sĩ sẽ xem xét cụ thể mức độ nghiêm trọng của bệnh.
Cách xử lý trong trường hợp nhẹ
Những khu vực lợi bị viêm cần được làm sạch sâu, nhằm loại bỏ mảng bám, cao răng ăn sâu vào chân răng, trả lại môi trường cho nướu phát triển bình thường trở lại. Nếu như bạn cũng mắc phải các bệnh nướu răng khác hoặc nhiễm trùng, thì những vấn đề này cũng cần được giải quyết càng sớm càng tốt, tránh để xảy ra biến chứng nguy hiểm.
Cách xử lý trong trường hợp nghiêm trọng

Nếu lợi tụt quá sâu thì cần can thiệp bằng phẫu thuật ghép mô nướu để phục hồi lại phần lợi che phủ chân răng trước đó.
Với biện pháp này, ở bước đầu, bác sĩ sẽ tiến hành nạo sạch túi nha để loại bỏ vi khuẩn. Sau đó, các bác sĩ sẽ thực hiện khâu mô lợi vào vị trí trên gốc răng để kéo lợi lại. Đồng thời, sử dụng các vạt niêm mạc ở vùng răng bên cạnh, có thể kèm hoặc không kèm theo vật liệu ghép để che phủ vùng chân răng bị tụt lợi. Dựa theo tình hình cụ thể của bệnh bác sĩ sẽ đưa ra phương pháp ghép lợi tự do tự thân, ghép mô sinh học từ động vật hoặc mô từ người khác để ghép. Sẽ mất khoảng 6 tuần để vết mổ lành lại và cần 1 năm để lợi có thể tái tạo lại giống như ban đầu. Đây là biện pháp triệt để, được áp dụng khi tình trạng tụt lợi quá nặng.
Bạn nên làm gì để ngăn chặn tụt lợi khi niềng răng?
Nhiều khách hàng thường hỏi các bác sĩ nha khoa về nguy cơ bị tụt lợi khi niềng răng. Nó có nghiêm trọng đến mức họ cần tránh thực hiện chỉnh nha hay không?
Theo một nghiên cứu khoa học được thực hiện vào năm 2014 để xem xét về ảnh hưởng của niềng răng tới tình trạng tụt nướu, với nhóm đối tượng gồm 251 người đang niềng răng. Kết quả cho thấy, số lượng người bị tụt nướu rất nhỏ, mức độ tụt nướu trung bình của các trường hợp được ghi nhận chỉ vào khoảng 0.5mm, nhẹ hơn nhiều so với những người bị tụt nướu do các bệnh nướu răng, khoảng cách lợi bị tụt có thể tới 3mm. (Xem nguồn nghiên cứu tại đây)
Vì vậy, bạn đừng quá lo lắng về vấn đề này. Mặc dù các bác sĩ không thể đưa ra câu trả lời chung cho mọi trường hợp bởi sức khỏe răng miệng và tiền sử bệnh của mỗi người là khác nhau. Nhưng các nha sĩ khuyên rằng, bạn không nên niềng răng nếu như đang bị viêm nha chu quá nặng hoặc đang bị tụt lợi. Ngoài ra, những trường hợp đang mắc các bệnh lí toàn thân như tim mạch, đái tháo đường, dộng kinh, bệnh về máu thì cũng không nên niềng răng.

Để ngăn chặn tụt lợi khi niềng răng, bạn cần duy trì thói quen chăm sóc răng miệng khoa học. Sau đây là những điều bạn nên lưu ý:
❎ Đầu tiên, hãy nhớ chải răng đều đặn 4 lần/ngày (thời gian 3 – 5 phút/lần), chọn loại bàn chải phù hợp với người niềng răng là bàn chải đầu lông mềm, mượt, để dễ dàng luồn lách được qua các kẽ răng.
❎ Bạn sẽ cần làm sạch cẩn thận xung quanh mắc cài và dọc theo đường viền nướu để loại bỏ mảng bám mỗi ngày. Mảng bám chứa hàng triệu vi khuẩn, nếu không được loại bỏ, nó có thể gây sâu răng và các bệnh về nướu.
❎ Chải răng quá mạnh cũng có thể khiến lợi tụt xuống, vì vậy hãy nhẹ nhàng nhưng kỹ lưỡng. Thực hiện chải răng theo động tác xoay tròn, lần lượt chải sạch mặt ngoài, bên trong và các bề mặt khác của răng.
❎ Nên sử dụng thêm chỉ nha khoa và nước súc miệng hoặc nước muối để răng lợi luôn được sạch sẽ tối đa.
❎ Thức ăn tốt cho người niềng răng là: Thức ăn mềm, dễ nhai để không làm bung mắc cài hay kích ứng mô lợi. Hạn chế các loại cà phê, trà, nước ngọt có gas, nên sử dụng ống hút khi uống nước.
❎ Nói không với thuốc lá, không xỏ khuyên miệng.
❎ Tránh nghiến răng.
❎ Hãy đến các phòng khám nha thường xuyên theo lịch hẹn định kỳ của bác sĩ niềng răng để theo dõi tình hình chỉnh nha, đồng thời phát hiện những bất thường từ sớm để có giải pháp xử lý kịp thời. Trong quá trình điều trị, bác sĩ sẽ theo dõi chặt chẽ đường viền nướu và giúp bạn giảm nguy cơ bị tụt sâu hơn bằng cách di chuyển niềng răng từ từ và nhẹ nhàng.
Trên đây là toàn bộ giải đáp của Nha khoa Thúy Đức cho vấn đề tụt lợi khi niềng răng. Nếu bạn đang muốn biết liệu điều trị chỉnh nha có phù hợp với mình hay không hoặc cần tìm hiểu cách tốt nhất để niềng răng, nhằm bảo vệ nướu răng khỏe mạnh, vui lòng gọi tới HOTLINE 096 3614 566 để được bác sĩ Phạm Hồng Đức – chuyên gia trong lĩnh vực chỉnh nha Việt Nam, thuộc Hiệp hội chỉnh nha Hoa Kỳ AAO tư vấn chi tiết.
Please Enter Your Facebook App ID. Required for FB Comments. Click here for FB Comments Settings page



