Răng vẩu là tình trạng răng bị sai lệch khớp cắn nghiêm trọng cần được điều trị sớm. Răng bị vẩu không chỉ ảnh hưởng tới thẩm mỹ của khuôn mặt mà còn khiến cho việc ăn nhai trở nên khó khăn hơn. Không chỉ vậy theo tướng số học thì những người răng vẩu thường ít gặp may mắn. Chính vì thế những ai không may bị răng hô vẩu đều muốn khắc phục nhược điểm này!

Như thế nào là răng vẩu?
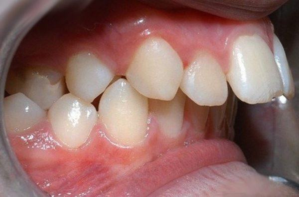
Răng vẩu là tình trạng răng hàm trên nhô ra trước nhiều hơn so với hàm dưới. Đây là một dạng sai lệch khớp cắn do sự sai lệch tương quan giữa hai hàm trên và dưới. Có nhiều trường hợp răng mọc đúng vị trí tuy nhiên do sự thay đổi của xương hàm đẩy ra quá mức so với trán và mũi cũng làm gây ra tình trạng hô vẩu.
Răng vẩu làm cho khuôn mặt bị mất cân đối. Nó thậm chí còn khiến cho dây thần kinh bị kéo căng, làm cho lưng đau, ảnh hưởng tới khớp thái dương hàm. Ngoài ra, chức năng ăn nhai của răng cũng không được phát huy đúng, dễ cắn vào mô răng hàm còn lại dẫn tới làm tổn thương xương hàm.
Để nhận biết răng có vẩu hay không rất đơn giản, bạn chỉ cần chụp nghiêng sau đó kẻ một đường thẳng nối từ đỉnh mũi tới điểm nhô cao nhất của cằm. Nếu như đường thẳng này tiếp xúc với môi có nghĩa là gương mặt bình thường, còn nếu môi nằm trước đường thẳng tức là bạn bị vẩu.
Nếu bạn nhận thấy mình có những dấu hiệu của răng hô vẩu, hãy nhanh chóng tìm ra nguyên nhân và cách chữa trị phù hợp nhất để lấy lại vẻ đẹp thẩm mỹ cũng như đảm bảo an toàn cho sức khỏe ăn nhai.
Các dạng răng vẩu thường gặp?
Răng vẩu có thể có nguyên nhân do răng, do xương hoặc nướu, cũng có nhiều trường hợp răng bị vẩu do kết hợp cả răng và xương. Sau đây là các trường hợp răng vẩu thường gặp:
Răng vẩu nhẹ
Răng vẩu nhẹ có nguyên nhân do răng mọc lệch lạc dẫn tới chìa ra khỏi hàm. Thông thường răng vẩu nhẹ phải quan sát kỹ mới nhận ra có bị vẩu hay không. Muốn biết được một cách chính xác nhất bạn cần phải tới gặp trực tiếp bác sĩ để thăm khám.

Răng vẩu nặng
Trong trường hợp răng bị hô vẩu nặng sẽ rất dễ dàng để nhận biết vì phần hàm trên nhô ra nhiều so với hàm dưới, có thể quan sát được bằng mắt thường.

Nguyên nhân răng vẩu?
Có 4 nguyên nhân thường gặp gây nên tình trạng răng vẩu đó là:
Răng vẩu do di truyền từ người thân
Hầu hết các trường hợp răng hô vẩu đều có nguyên nhân di truyền do gen quyết định. Theo thống kê có tới 70% người bị răng hô vẩu là do di truyền từ ông bà hoặc bố mẹ. Trên thực tế cũng có nhiều trường hợp những người bị răng vẩu thì con cái của họ sau này sẽ bị di truyền lại. Tuy nhiên mức độ răng không giống nhau, có thể bị nhẹ hơn hoặc nặng hơn.
Răng hô vẩu do những thói quen xấu trong quá trình mọc răng
Trẻ em thường có những thói quen không tốt như mút ngón tay, đẩy lưỡi hay ngậm ti giả,… Những thói quen này tưởng chừng như không có hại tuy nhiên nó lại là nguyên nhân xâu xa dẫn tới tình trạng răng vẩu, đặc biệt nếu những thói quen này diễn ra trong một thời gian dài. Đối với trẻ em, khi khuôn răng mới mọc vẫn còn rất non nớt sẽ rất dễ chịu tác động và bị đẩy vẩu ra phía trước. Tuy nhiên nguyên nhân này hoàn toàn có thể phòng tránh được nếu như bạn ngăn chặn những thói quen xấu của bé ngay từ khi bắt đầu.
Răng hô vẩu do quá trình phát triển hàm mặt bị sai lệch
Khi cấu trúc khuôn mặt phát triển không hài hòa cũng là một trong những nguyên nhân làm cho răng bị hô, lúc này phần xương trên sẽ hóp lại làm cho xương hàm nhô ra gây nên tình trạng răng hô vẩu.
Răng vẩu do răng và xương hàm mất cân đối
Khi xương hàm quá nhỏ trong khi răng lại quá to sẽ khiến cho răng không có chỗ mọc và phải mọc chen chúc lẫn nhau. Các răng sẽ đẩy nhau hoặc nhô ra phía trước vì không có đủ diện tích mọc răng. Đây chính là nguyên nhân làm cho răng bị hô.
Răng vẩu ảnh hưởng như thế nào?
Điều đầu tiên và dễ nhận biết nhất đó là răng vẩu gây mất thẩm mỹ nghiêm trọng, khiến người bị răng vẩu mất tự tin và ngại giao tiếp với mọi người xung quanh. Thậm chí có nhiều người còn trêu chọc, làm tổn thương tâm lý những người răng bị hô vẩu.
Thứ hai, răng vẩu làm suy giảm chức năng ăn nhai. Nếu thức ăn không được nhai kỹ thường xuyên sẽ làm cơ quan tiêu hóa phải hoạt động gấp đôi so với thông thường, về lâu dài sẽ ảnh hưởng tới hệ tiêu hóa.
Thứ ba, răng vẩu sẽ dễ khiến cho bạn gặp phải những chấn thương ở răng miệng nếu chẳng may gặp tai nạn do hàm răng nhô ra bên ngoài quá nhiều.
Cuối cùng răng vẩu dễ gây ra các bệnh về răng miệng như sâu răng, viêm nha chu,… do việc vệ sinh khó khăn hơn.
Chính vì thế việc tìm hiểu răng vẩu không phải chỉ quan tâm tới nguyên nhân gây ra răng vẩu mà bạn còn cần phải tìm hiểu rõ những biến chứng nguy hiểm mà nó gây ra. Từ đó chủ động tìm ra cách xử lý cho tình trạng răng miệng của mình để phòng tránh được những tác hại nguy hiểm có thể xảy ra.
Cách chỉnh răng vẩu hiệu quả?
Có rất nhiều cách chỉnh răng vẩu khác nhau, tùy theo nguyên nhân gây ra răng vẩu mà có cách khắc phục sao cho phù hợp và có hiệu quả nhất.

Trường hợp chữa vẩu do răng
Răng hô vẩu do răng là trường hợp nhẹ nhất và dễ giải quyết nhất. Đối với trường hợp này, niềng răng được coi là một trong những phương pháp hiệu quả nhất để khắc phục. Có 2 phương pháp niềng răng là niềng răng mắc cài và niềng răng không mắc cài.
Niềng răng mắc cài
Phương pháp này hoạt động dựa trên nguyên lý cơ học, dựa theo lực tác dụng của mắc cài, dây cung làm răng di chuyển về đúng vị trí mong muốn. Thông thường niềng răng sẽ mất từ 12 – 24 tháng, tùy theo tình trạng răng hô nhẹ hay nặng, theo độ tuổi và cả tay nghề bác sĩ.
Tại nha khoa Thúy Đức, bác sĩ chỉ sử dụng mắc cài thông minh Damon thuộc hãng Ormco, đây là thương hiệu mắc cài lâu đời tại Mỹ, được nhiều người tin tưởng lựa chọn với những ưu điểm vượt trội như:
- Cảm giác đau răng được giảm tới 60% so với niềng truyền thống, mang tới sự thoải mái tối đa cho khách hàng.
- Thời gian điều trị ngắn hơn.
- Cơ chế hoạt động của niềng Damon cũng giúp cho răng có thể chắc khỏe hơn, men răng ít bị bào mòn.
- Ít phải tới gặp bác sĩ để siết dây cung, chỉnh niềng.
- Hạn chế tối đa việc nhổ răng hay dùng các khí cụ để nong rộng hàm.
- Giảm thiểu tối đa những kẽ hở trên răng từ đó hạn chế vi khuẩn và mảng bám đọng lại trên răng.
➤ Xem chi tiết: Ưu nhược điểm của các loại niềng răng mắc cài
Niềng răng không mắc cài
Niềng răng không mắc cài hay còn có tên gọi khác là niềng răng trong suốt. Nha khoa Thúy Đức chỉ tin dùng niềng răng trong suốt Invisalign, là phương pháp niềng răng trong suốt được hơn 10 triệu người tin dùng trên khắp thế giới. Phương pháp này sử dụng các khay niềng trong suốt ôm khít chân răng tác động lực đưa răng về vị trí đúng trên cung hàm.
- Tính thẩm mỹ tuyệt đối do khay niềng hoàn toàn trong suốt
- Dễ dàng tháo lắp lúc ăn uống và vệ sinh
- Ít phải tới nha khoa hơn, phù hợp cho những người bận rộn
- Không có cảm giác đau đớn do dây cung hay mắc cài đâm vào má
➤Xem thêm: Niềng răng trong suốt có đắt không?Giá bao nhiêu?
Phẫu thuật chữa răng hô vẩu do hàm
Răng hô do hàm được coi là trường hợp khó chữa. Thông thường để điều trị dứt điểm, bác sĩ sẽ phải can thiệp tới xương hàm của bệnh nhân để có thể điều chỉnh lại cả hàm răng. Phương pháp này mặc dù thời gian thực hiện rất nhanh chóng nhưng chi phí khá cao. Bên cạnh đó vì nó có liên quan tới phẫu thuật nên bạn cần tìm tới các cơ sở y khoa có uy tín để được thực hiện một cách an toàn và hiệu quả nhất.
Nên chỉnh răng vẩu bằng phương pháp nào?
Để biết bản thân thực sự phù hợp với phương pháp chỉnh răng vẩu nào bạn cần phải tới nha khoa uy tín để được thăm khám, tìm ra nguyên nhân của tình trạng răng vẩu và nghe tư vấn của bác sĩ điều trị.
Như đã trình bày ở phía trên, trong trường hợp răng bị hô do răng bạn có thể lựa chọn phương pháp niềng. Nếu răng bị hô hàm sẽ cần có sự can thiệp của phẫu thuật hàm, trong trường hợp răng vừa hô hàm vừa hô răng có thể sẽ phải kết hợp cả niềng răng lẫn phẫu thuật hàm.
Mỗi phương pháp có ưu nhược điểm riêng, chỉ có duy nhất bác sĩ điều trị có kiến thức chuyên môn và tay nghề cao cùng với sự hỗ trợ của máy móc công nghệ hiện đại mới có thể đưa ra được phương pháp điều trị phù hợp nhất với tình trạng răng của bạn. Chính vì vậy điều đầu tiên bạn cần làm khi thấy mình có biểu hiện của răng hô vẩu đó là tìm kiếm các địa chỉ nha khoa lâu đời, được nhiều người tin tưởng và bác sĩ tay nghề cao, sau đó tới thăm khám để tìm ra phương pháp tốt nhất cho mình nhé.
Nha khoa Thúy Đức là nha khoa thành lập từ năm 2006, đến nay đã hoạt động được 19 năm, hiện đã điều trị thành công cho hàng ngàn ca niềng răng hô không cần nhổ răng, được đông đảo khách hàng tin tưởng và giới thiệu người thân tới thăm khám.

Nha khoa Thúy Đức có bác sĩ Phạm Hồng Đức là bác sĩ thuộc Hiệp hội chỉnh nha Hoa Kỳ AAO. Bác sĩ Đức theo học chuyên sâu về ngành chỉnh nha tại nước ngoài vì vậy có những kỹ thuật riêng về chỉnh nha giúp khách hàng rút ngắn thời gian chỉnh nha mà hiệu quả vẫn cao nhất.
Đặc biệt với phương pháp niềng không nhổ răng F.A.C.E được bác sĩ Đức tiếp thu từ nước ngoài và ứng dụng tại Việt Nam, phương pháp này hạn chế tối đa việc nhổ răng thậm chí không cần nhổ răng với cả trường hợp hô nặng, để bảo tồn tối đa hàm răng thật cho khách hàng.
Có thể nói cách khắc phục răng vẩu có rất nhiều tuy nhiên để biết được phương pháp nào phù hợp với tình trạng răng của mình bạn cần được thăm khám và tư vấn cụ thể bởi bác sĩ điều trị. Chúc bạn sớm có được hàm răng ưng ý và nụ cười rạng rỡ nhé!
➤ Tham khảo: Hình ảnh trước và sau khi niềng răng
NHA KHOA THÚY ĐỨC – Bác sĩ Phạm Hồng Đức
- Hotline: 035 866 9399 – 093 186 3366
- Địa chỉ: Số 64 phố Vọng, phường Bạch Mai, Hà Nội.
- Giờ làm việc: 8h00 – 19h00 từ thứ 2 đến Chủ Nhật
Please Enter Your Facebook App ID. Required for FB Comments. Click here for FB Comments Settings page

