Niềng răng là phương pháp chỉnh nha được nhiều người lựa chọn khi muốn cải thiện tính thẩm mỹ của hàm răng. Với những người có răng cửa bị lệch, thưa hay khấp khểnh thì niềng răng có là giải pháp tốt nhất hay không? Nếu chỉ niềng 2 răng cửa có được không? Chi phí là bao nhiêu và niềng mất bao lâu mới mang lại hiệu quả? Nha khoa Thúy Đức sẽ giúp bạn giải đáp những thắc mắc trên.
Mục lục

Tìm hiểu về răng cửa và chức năng của nó
Răng cửa là răng mọc ngay chính giữa khung hàm (các răng số 1, số 2), có diện tích lớn hơn so với các răng còn lại, đặc biệt là răng cửa hàm trên. Thông thường một người có 8 chiếc răng cửa gồm 4 răng cửa giữa và 4 răng cửa bên ở mỗi hàm.
Răng cửa đóng vai trò thẩm mỹ quan trọng và trực tiếp nhất trên khung hàm. Vì vậy, những người có răng cửa mọc lệch, răng thưa, răng khấp khểnh đều cảm thấy tự ti khi giao tiếp đặc biệt là lúc cười, ảnh hưởng không nhỏ đến tâm lý cũng như cuộc sống sinh hoạt hằng ngày.

Răng cửa có nhiệm vụ chính là cắn và cắt nhỏ thức ăn nhờ đó quá trình nhai, nghiền thức ăn được diễn ra dễ dàng và hiệu quả hơn. Và khi răng cửa mọc không đều, khít và không khỏe mạnh sẽ khiến cho chức năng ăn, nhai không được hoàn thiện, có thể gây ra sự mất cân đối cho hàm răng và các bệnh liên quan đến tiêu hóa, dạ dày,…
Ngoài ra, răng cửa cũng ảnh hưởng không nhỏ đến khả năng phát âm của mỗi người. Các vấn đề liên quan đến răng cửa về thẩm mỹ, cấu trúc hay chức năng đều khiến cho việc phát âm trở nên khó khăn hơn, phát âm không tròn vành rõ chữ.
Chính vì những tác động không mong muốn trên mà nhiều người đã tìm đến nha khoa để cải thiện các khuyết điểm về răng cửa bằng các phương pháp hàm trám, bọc răng sứ, dán sứ,… Tuy nhiên các phương pháp trên chỉ áp dụng trong các trường hợp nhẹ, với những trường hợp nặng và khó hơn thì không kéo dài được hiệu quả và không thật sự cải thiện được chức năng sinh lý của răng cửa. Để đảm bảo và chắc chắn nhất, niềng răng chính là phương pháp được lựa chọn hàng đầu.
Niềng 2 răng cửa áp dụng trong trường hợp nào?
Răng cửa bị lệch
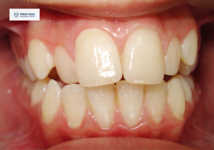
Răng cửa bị lệch là tình trạng răng mọc sai vị trí, chiều răng và thế răng,… Theo cơ chế sinh học bình thường, răng cửa sẽ mọc đều, khít và đúng vị trí trên cung hàm. Tuy nhiên, thay vào đó, trong nhiều trường hợp, răng cửa lại mọc chen chúc, trồi lên – tụt xuống, chồng chéo lẫn nhau.

Nguyên nhân khiến răng cửa mọc lệch:
- Di truyền từ gia đình: Thật bất ngờ khi nguyên nhân này chiếm đến 70%; để khắc phục đạt hiệu quả lâu dài nhất thì phương pháp niềng răng là ưu tiên số 1.
- Do các thói quen xấu như mút tay, đẩy lưỡi, cắn móng tay, thở bằng miệng khi ngủ. Những thói quen xấu này vừa khiến cho răng cửa mọc không đúng vị trí vừa gây ra các bệnh truyền nhiễm từ vi khuẩn trong móng tay.
- Do tình trạng răng bị mất nhưng không bổ sung chỗ răng bị trống dẫn đến theo thời gian các răng sẽ tiến về phía răng trống và khiến răng mọc lệch.
- Do cung hàm nhỏ không đủ vị trí cho số lượng răng mọc tối thiểu ở mỗi người khiến răng mọc chen chúc, chèn ép nhau và răng cửa mọc bị lệch.
Các kiểu răng cửa mọc lệch thường gặp:
- Răng cửa hình chữ V: Để ý kỹ sẽ thấy 2 cạnh răng cửa tạo với nhau thành một góc nhọn giống như hình chữ V.
- Răng cửa mọc lệch nghiêng: Trường hợp này răng cửa mọc không thẳng mà có thể mọc nghiêng về 2 phía khác nhau hoặc cùng một phía.
- Răng cửa mọc lộn xộn: Răng cửa lúc này sẽ mọc không theo quy tắc mà lại cái mọc quặp vào trong, cái mọc chìa ra ngoài, rất gây mất thẩm mỹ.
Dù trong trường hợp nào thì khi răng cửa mọc lệch sẽ để lại những hậu quả khôn lường. Răng mọc lệch, không thẳng đều khiến cho quá trình vệ sinh răng miệng trở nên khó khăn hơn, các cạnh răng bị che khuất không được làm sạch. Hơn nữa, khi ăn uống, thức ăn sẽ bị dắt lại, nếu không được lấy ra sẽ gây ra bệnh sâu răng, ảnh hưởng đến sức khỏe răng miệng. Cần bỏ các thói quen xấu khiến tình trạng răng mọc lệch diễn biến xấu hơn và đến gặp bác sĩ để có biện pháp khắc phục kịp thời bằng phương pháp niềng răng.
Răng cửa mọc thưa
Răng mọc thưa nói chung và răng cửa mọc thưa nói riêng là một dạng sai khớp cắn giống như răng cửa mọc lệch. Răng cửa mọc thưa là khi giữa các răng cửa có một khoảng trống nhỏ, không khít nhau, làm mất thẩm mỹ và mất tự tin trong giao tiếp.

Nguyên nhân răng cửa mọc thưa:
- Do đặc điểm sinh học, kích thước răng cửa nhỏ, không lấp đầy được khoảng trống giữa các răng.
- Do cung hàm rộng: Ngược với răng cửa mọc lệch, cung hàm quá rộng khiến răng cửa dù mọc đúng vị trí và đủ kích thước vẫn không lấp đầy được khoảng trống giữa các răng và khiến răng mọc thưa.
Răng cửa mọc thưa cũng có những ảnh hưởng không nhỏ đến chức năng ăn, nhai và sức khỏe răng miệng. Điều đầu tiên phải nhắc đến đó là làm mất thẩm mỹ cho toàn bộ khuôn mặt dẫn đến ngại ngùng, không tự tin khi giao tiếp. Răng cửa thưa cũng khiến cho việc nghiền, cắn thức ăn mất hiệu quả tối đa. Ngoài ra, việc răng cửa mọc thưa sẽ tạo ra khoảng trống nhỏ, tạo điều kiện cho thức ăn dắt vào. Nếu không chú ý vệ sinh sẽ gây sâu răng, hơi thở có mùi,…
Răng cửa bị hô
Răng cửa bị hô là khi răng mọc chìa hẳn ra phía ngoài, là một dạng bị sai khớp cắn khá nghiêm trọng.

Nguyên nhân khiến răng cửa bị hô:
- Do kích thước răng to, cung hàm không đủ chỗ cho răng mọc, khiến các răng chen chúc và xô đẩy răng cửa chìa ra bên ngoài.
- Do các thói quen xấu từ nhỏ là mút tay, ngậm ti giả, đẩy lưỡi,…
- Do cấu trúc xương hàm: Yếu tố này thường là yếu tố bẩm sinh, hàm trên phát triển vượt quá so với hàm dưới, khi nhìn bề ngang sẽ thấy rõ hơn cho dù răng cửa mọc khá bình thường.
Cũng giống với các trường hợp trên, răng cửa bị hô không chỉ gây mất thẩm mỹ nghiêm trọng, ảnh hưởng đến tâm lý và chất lượng sống của người mắc phải mà còn gây ra các bệnh nha chu, chức năng ăn, nhai kém và kèm theo bệnh đau dạ dày, đau khớp thái dương,…
⇒ Đọc thêm: Những lưu ý quan trọng cần biết khi niềng răng hô
Như đã nói ở trên, có nhiều phương pháp cải thiện tình trạng răng cửa mọc lệch, mọc thưa, bị hô, móm nhưng phương pháp niềng răng (chỉnh nha) vẫn là biện pháp khắc phục hiệu quả và lâu dài nhất. Sức khỏe răng miệng hiện nay đang được rất nhiều người quan tâm do vậy mà ngày càng phương pháp giúp hàm răng của bạn được đều đẹp và khoẻ mạnh hơn. Hãy lựa chọn cho mình một giải pháp an toàn mà đạt hiệu quả như mong đợi.
⇒ Có thể bạn muốn biết: Răng yếu có niềng được không?
Các phương pháp niềng răng phổ biến hiện nay
Niềng răng mắc cài kim loại truyền thống
Ở phương pháp này, các bác sĩ sẽ sử dụng mắc cài kim loại đặt cố định trên răng, dây thun sẽ được buộc vào từng rãnh mắc cài. Sự đàn hồi của dây thun sẽ tạo lực để di chuyển răng dần dần đến vị trí mong muốn, từ đó giúp cho hàm răng thẳng hàng.
Ưu điểm:
- Đây là phương pháp niềng răng có chi phí rẻ nhất trong các loại mắc cài đồng thời không đòi hỏi đến công nghệ cao khi thực hiện.
- Thời gian niềng nhanh hơn mắc cài sứ/pha lê do lực kéo mạnh của dây thun.
Hạn điểm:
- Phương pháp này có tính thẩm mỹ không cao do các mắc cài sẽ lộ ra, nhìn thấy rõ khi giao tiếp.
- Mắc cài có thể gây tổn thương các mô mềm trong miệng như là mặt trong má hay nướu răng.
- Mắc cài dễ bị bung tuột.
Niềng răng mắc cài kim loại tự buộc
Niềng răng mắc cài kim loại tự buộc là kỹ thuật niềng răng có thêm chốt, đóng mở linh động, cố định dây cung thay vì dùng thun.
Các dây cung cũng có thể trượt một cách tự do trong rãnh mắc cài, giúp duy trì lực ổn định hơn, đặc biệt lực ma sát sẽ được giảm tối đa.
Ưu điểm:
- Thời gian niềng nhanh hơn mắc cài kim loại truyền thống.
- Giảm tình trạng bung, tuột mắc cài.
- Dây cung ít bị biến dạng.
- Hạn chế tình trạng tổn thương tới nướu.
- Bạn ít cần gặp bác sĩ thường xuyên để điều chỉnh dây cung.
Hạn chế điểm:
- Giá thành cao hơn mắc cài kim loại truyền thống
Niềng răng mắc cài sứ/pha lê
Phương pháp sử dụng mắc cài chất liệu sứ thẩm mỹ có màu gần giống răng thật. Các mắc cài sứ này sẽ được gắn chặt trên bề mặt răng, dây cung nối các mắc cài lại với nhau tạo lực ổn định giúp dịch chuyển các răng vào đúng vị trí trên cung hàm.
Ưu điểm:
- Chất liệu lành tính, thân thiện
- Tính thẩm mỹ cao
- Giá thành cao hơn
Niềng răng mắc cài sứ tự buộc
Mắc cài sứ tự buộc thêm chốt tự đóng hoặc nắp trượt tự động trên rãnh mắc cài, thay thế cho dây thun ở mắc cài thường, giảm tình trạng dây cung bị biến dạng như mắc cài thường. Chốt tự đóng có vai trò cố định dây cung trong mắc cài chắc chắn, nhằm ngăn việc bị chệch hoặc bung ra như trường hợp dây thun buộc và giảm thiểu tình trạng ma sát lên răng. Loại mắc cài này được thiết kế nhỏ gọn hơn, giúp cho việc ăn uống trở nên dễ dàng.
Ưu điểm:
- Lực tác dụng lên răng ổn định
- Tính thẩm mỹ cao
- Thời gian chỉnh nha ít hơn, không lo bị bung mắc cài
- Chịu lực tốt, khó bị phá vỡ
Nhược điểm:
- Chi phí cao hơn so với các loại mắc cài trên
Xem thêm: Quy trình niềng răng với mắc cài sứ diễn ra thế nào?

Phương pháp niềng trong suốt Invisalign
Niềng răng Invisalign hiện là phương pháp chỉnh nha hiện đại bậc nhất, mang lại sự thoải mái tối đa cho người đeo niềng răng. Phương pháp này sử dụng bộ khay niềng nhựa trong suốt được làm riêng theo tình trạng răng cụ thể của mỗi khách hàng, có thể được coi là khay niềng “độc nhất” để điều chỉnh răng và đưa về vị trí mong muốn trên khung hàm. Bạn sẽ phải đeo khay niềng mỗi ngày, thời gian tối thiểu là 22h. Cứ sau khoảng 2 tuần, bạn sẽ phải thay một bộ khay niềng mới. Thông thường, một người sẽ phải đeo khoảng 20 – 48 khay niềng để đạt được kết quả hoàn chỉnh.
Ưu điểm:
Khay niềng trong suốt Invisalign có rất nhiều ưu điểm đáng nói.
- Thứ nhất, khay niềng răng gần như trong suốt nên mang lại hiệu quả thẩm mỹ rất cao.
- Thứ hai, vấn đề ăn uống hằng ngày, vệ sinh răng miệng hay khay niềng được thực hiện dễ dàng. Người dùng không phải đến gặp bác sĩ nhiều lần mà vẫn đạt được hiệu quả tối ưu nhất.
- Khay niềng ôm trọn mọi bề mặt răng, chính vì thế nó tác động lực vào tất cả các vị trí trên răng giúp răng di chuyển về vị trí mong muốn nhanh hơn, hiệu quả hơn.
- Khay niềng không gây đau đớn hay khó chịu cho người mang.
- Phương pháp niềng răng này phù hợp với mọi độ tuổi.
- Bạn sẽ biết trước kết quả niềng răng 3D của mình dựa vào phần mềm trên máy tính.
Hạn chế:
Chi phí niềng răng trong suốt Invisalign cao hơn những loại niềng răng khác.
Niềng 2 răng cửa có hiệu quả không?
Niềng 2 răng cửa chỉ đạt hiệu quả tối đa nếu như niềng cả hàm. Nếu chỉ niềng 2 răng cửa thì hiệu quả gần như bằng không do các răng trên hàm không thể dịch chuyển, điều chỉnh về đúng vị trí cho đều đặn hơn và khớp cắn không được cân đối với nhau.

Thông thường, có thể chỉ niềng 2 răng cửa cho trẻ em. Tuy nhiên theo lời khuyên của BS Phạm Hồng Đức, dù chỉ có 2 răng cửa có khuyết điểm, bạn vẫn nên niềng nguyên hàm trên (dưới) hoặc cả 2 hàm để khắc phục được triệt để và mang lại hiệu quả lâu dài.
Chi phí niềng 2 răng cửa là bao nhiêu?
Thông thường, niềng 2 răng cửa sẽ niềng luôn cả hàm vì vậy mà chi phí chỉnh nha sẽ tính bằng giá cả niềng nguyên hàm như bình thường.
Tuy nhiên không có con số cụ thể cho chi phí niềng răng bởi còn phụ thuộc vào từng tình trạng răng, bác sĩ sẽ tư vấn loại mắc cài, khí cụ cũng như dịch vụ đi kèm phù hợp. Giá chỉnh nha phân đoạn sẽ tùy từng loại mắc cài.
Bảng giá dịch vụ niềng răng tại Nha khoa Thúy Đức dao động từ 30 triệu đến 130 triệu tùy loại mắc cài và niềng răng. Bảng giá này chưa bao gồm các dịch vụ khác như chụp phim tư vấn, đóng minivis,…
- Mắc cài kim loại Mini Diamond: 30 – 32 triệu
- Mắc cài kim loại tự động Damon Q2: 40 – 42 triệu
- Mắc cài sứ Symetri: 40 – 42 triệu
- Mắc cài sứ tự động Damon Clear 2: 50 – 52 triệu
- Invisalign: 50 – 128 triệu.
Nha khoa Thuý Đức – địa chỉ niềng răng uy tín hàng đầu Hà Nội
Nếu bạn đang tìm kiếm một chuyên gia hàng đầu trong lĩnh vực chỉnh nha hãy để chúng tôi giúp bạn.
Sự hài lòng của khách hàng là ưu tiên hàng đầu của Nha khoa Thúy Đức. Hơn 19 năm qua, Bác sĩ Phạm Hồng Đức và Nha khoa luôn tập trung nâng cao chuyên môn và chất lượng dịch vụ, để khách hàng có thể yên tâm tìm kiếm nụ cười rạng rỡ. Chúng tôi luôn quan tâm và lắng nghe cảm nhận của khách hàng cho dù là những điều nhỏ nhất.
Đến với Nha khoa Thúy Đức, bạn sẽ được tư vấn về giải pháp niềng không nhổ răng F.A.C.E (Functional and Cosmetic Excellence). Đây vốn là một chương trình đào tạo sau đại học được giảng dạy tại Mỹ và Châu Âu dành riệng cho các bác sĩ chỉnh nha. Sau này, F.A.C.E phát triển thành một kỹ thuật niềng răng chuyên sâu giúp thực hiện những ca niềng khó mà không cần nhổ răng hoặc hạn chế tối đa việc nhổ răng.
Cùng với việc áp dụng các phương tiện chuẩn đóan hình ảnh tiên tiến bao gồm: Chụp kết cấu xương 3 chiều CBCT, quét khớp cắn răng 3D để đưa ra các chẩn đoán kỹ lưỡng, F.A.C.E đã giúp cho bác sĩ chỉnh nha có thể lựa chọn phương án điều trị phù hợp nhất để xử lý tất cả những vấn đề về thẩm mỹ và khớp cắn, làm cho hàm răng không chỉ ăn nhai tốt mà gương mặt trở nên đẹp hơn sau điều trị..
⇒ Tham khảo: Dịch vụ niềng răng không nhổ răng tại Nha khoa Thúy Đức
Chuyên môn chỉnh nha
Bác sĩ Phạm Hồng Đức
- Bác sĩ Đức được hãng Invisalign đánh giá là bác sĩ TOP 1 tại Đông Nam Á và TOP 1 về kinh nghiệm, chuyên môn tại Việt Nam
- Bác sĩ đầu tiên tại Châu Á đạt thứ hạng Red Diamond trên bản đồ Invisalign toàn cầu
- Bác sĩ có số lượng khách hàng niềng Invisalign nhiều nhất Việt Nam năm 2021
- Bác sĩ thuộc Hiệp hội chỉnh nha Hoa Kỳ AAO
- Bác sĩ thuộc Hiệp hội nắn chỉnh răng thế giới IAO, Hiệp hội chỉnh nha thế giới WFO
- Dịch giả của những cuốn sách chỉnh nha nổi tiếng như 1001 bí kíp lâm sàng trong chỉnh nha (2015), Các ca lâm sàng trong chỉnh nha (2015), Cơ sinh học trong chỉnh nha (2016),…
- Bác sĩ Đức đã có kinh nghiệm điều trị hơn 7000 ca chỉnh nha, được coi là một trong những bác sĩ có số lượng KH niềng răng lớn nhất Hà Nội.
- Là người đầu tiên đưa phương pháp Niềng không nhổ răng F.A.C.E từ nước ngoài về ứng dụng tại Việt Nam, giúp hạn chế tối đa việc nhổ răng thậm chí không cần nhổ răng mà vẫn mang lại hiệu quả điều trị cao nhất.
⇒ Xem thêm: Thông tin chi tiết về bác sĩ – chuyên gia chỉnh nha Phạm Hồng Đức
Ngoài ra, tại Nha khoa Thúy Đức còn có đội ngũ bác sĩ, y tá tốt nghiệp Đại học Y với chuyên ngành chỉnh nha tổng quát và bề dày kinh nghiệm, kết hợp cùng bác sĩ Đức đã chữa trị thành công cho rất nhiều khách hàng. Đội ngũ nhân viên lễ tân, chăm sóc khách hàng sẽ mang lại những trải nghiệm tuyệt vời nhất khi bạn sử dụng dịch vụ của chúng tôi.
Chất lượng dịch vụ
- Nha khoa đầu tiên tại Việt Nam sở hữu máy quét dấu răng toàn hàm iTero 5D Plus hiện đại nhất thế giới.
- Phòng khám chỉ sử dụng mắc cài cao cấp Ormco Hoa Kỳ – Thương hiệu mắc cài lâu đời và uy tín nhất thế giới.
- Ngoài ra, phòng khám hỗ trợ trả góp linh hoạt với lãi suất 0% cùng nhiều chính sách ưu đãi khác.
Tâm huyết làm nghề
Với hơn 7000 ca niềng răng từ mắc cài tới Invisalign đều được bác sĩ Đức tự tay tinh chỉnh. Tất cả khách hàng tại Nha khoa Thúy Đức luôn ấn tượng với sự tư vấn nhiệt tình, chu đáo cân nhắc tới tỷ lệ khuôn mặt, khuôn cười, ưu tiên niềng không nhổ răng của Bác sĩ Đức.

Để có một hàm răng đều, đẹp và chắc khỏe cần đầu tư về cả thời gian và vật chất. Hãy lựa chọn cho mình một nha khoa uy tín, có thể yên tâm và tin tưởng để đồng hành cùng bạn trong suốt quá trình niềng răng nhé. Chúc bạn thành công!
NHA KHOA THÚY ĐỨC – Bác sĩ Phạm Hồng Đức
Địa chỉ: 64 Phố Vọng, phường Bạch Mai, Hà Nội
Số điện thoại: 02422 160 162
Hotline: 093 186 3366
Please Enter Your Facebook App ID. Required for FB Comments. Click here for FB Comments Settings page

