Niềng răng mắc cài pha lê là phương pháp niềng răng được cải tiến từ phương pháp niềng răng mắc cài truyền thống. Do nhu cầu thẩm mỹ của con người ngày càng cao, các mắc cài kim loại khiến cho nhiều người cảm thấy mất tự tin khi giao tiếp bởi các mắc cài kim loại gắn nổi bật trên răng. Chính vì vậy niềng răng mắc cài pha lê đã ra đời, không chỉ đáp ứng được về mặt thẩm mỹ mà hiệu quả mang lại cũng tuyệt vời. Vậy phương pháp niềng răng mới này có đặc điểm như thế nào? Hiệu quả mang lại ra sao? Cùng đi tìm hiểu chi tiết trong bài viết này nhé!
Mục lục

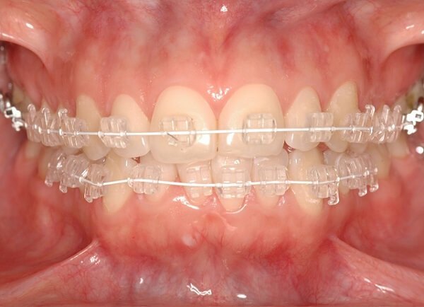
Niềng răng mắc cài pha lê là gì?
Niềng răng mắc cài pha lê là phương pháp niềng răng thẩm mỹ có sử dụng hệ thống mắc cài pha lê, kết hợp cùng với dây cung có màu trắng, vì thế nhìn từ xa rất khó phát hiện đang niềng răng, mang lại tính thẩm mỹ cao và sự tự tin giao tiếp cho khách hàng.
Niềng răng mắc cài pha lê có nguyên lý hoạt động giống như mắc cài kim loại, đều dùng các mắc cài gắn lên răng cùng với dây cung để tạo thành lực kéo đưa răng về đúng vị trí chuẩn trên cung hàm. Nhưng các mắc cài pha lê được chế tạo từ pha lê rãnh Titan hoặc Crystal pha lê trong suốt vì thế giúp tránh được tình trạng mất thẩm mỹ như mắc cài kim loại.
Vì niềng răng mắc cài pha lê được cải tiến từ mắc cài kim loại nên hiệu quả niềng răng vẫn được duy trì tối đa. Phương pháp này can thiệp tới các trường hợp răng hô, răng móm, răng thưa, khấp khểnh,… với thời gian niềng răng dao động từ 12 – 24 tháng tùy theo độ tuổi và tình trạng của răng.
Ưu nhược điểm của niềng răng mắc cài pha lê
Mặc dù mắc cài pha lê có chi phí cao hơn so với mắc cài kim loại tuy nhiên việc niềng răng bằng mắc cài pha lê vẫn được đông đảo khách hàng lựa chọn, đặc biệt là các khách hàng trẻ tuổi.
Khi lựa chọn phương pháp chỉnh nha bằng mắc cài pha lê, khách hàng có thể yên tâm về kết quả nhận được sau khi chỉnh nha và có sự hài lòng cao do phương pháp này đáp ứng được những ưu điểm nổi bật như:

- Tính thẩm mỹ cao: Là ưu điểm của loại mắc cài pha lê vì nó có màu tương đồng với màu răng nên rất khó nhận ra bạn đang niềng răng khi ở khoảng cách xa. Bên cạnh đó, chất liệu pha lê còn được đánh giá cao bởi nó thể hiện được cá tính của người sở hữu. Không chỉ mắc cài pha lê có màu giống với màu răng, hiện nay các bác sĩ đều sử dụng cả chất liệu dây cung có màu sắc giống với màu răng, làm tăng tính thẩm mỹ lên mức cao nhất.
- An toàn với sức khỏe răng miệng: Mắc cài pha lê được thiết kế từ chất liệu tốt, an toàn, không góc cạnh, trơn láng, vì thế hoàn toàn không gây kích thích vào mô mềm khi cọ xát như sử dụng các kỹ thuật truyền thống.
- Có hiệu quả với tất cả mọi trường hợp sai lệch răng: Các trường hợp răng móm, răng mọc lệch lạc, khấp khểnh, răng hô nhẹ,… đều cho hiệu quả tốt. Hàm răng của bạn sẽ được điều chỉnh từng chút một về đúng vị trí mà bạn mong muốn, đều đẹp và thẳng hàng hơn.
- Kết quả đạt được sau khi niềng mang tính vĩnh viễn, không tái phát.
Bên cạnh những ưu điểm nổi bật thì mắc cài pha lê cũng có một số nhược điểm trong quá trình sử dụng như sau:
- Chất liệu pha lê có thể bị vỡ: Trên thực tế thì chất liệu của mắc cài pha lê không thể cứng chắc bằng mắc cài kim loại, vì vậy mắc cài sẽ dễ bị vỡ nếu bạn nhai đồ quá cứng hay chịu va đập mạnh từ bên ngoài. Chính vì thế nếu bạn lựa chọn niềng răng bằng mắc cài pha lê thì bạn cần lưu ý điểm này.
- Dễ bị nhiễm màu: Nếu bạn không chú ý vệ sinh răng miệng kỹ thì sẽ rất dễ làm cho mắc cài hoặc dây cung bị ngả màu, do đó dễ gây mất thẩm mỹ nên cần chú ý vệ sinh thật tốt.
➤ Có thể bạn quan tâm : Niềng răng loại nào tốt nhất, hiệu quả nhất hiện nay?
Nên sử dụng mắc cài pha lê cho những trường hợp như thế nào?
Cũng giống như niềng răng bằng kim loại, việc niềng răng bằng mắc cài pha lê giúp khắc phục các khuyết điểm của răng, mang lại hàm răng đều đẹp.
Răng hô
Răng hô hay răng vẩu là tình trạng các răng hàm trên bị chìa ra trước nhiều hơn so với bình thường. Trường hợp răng này là một dạng sai khớp cắn làm ảnh hưởng nhiều tới chức năng ăn nhai, thẩm mỹ của khuôn mặt cũng như khả năng phát âm. Nếu bạn mắc phải trường hợp này có thể can thiệp chỉnh nha bằng việc niềng răng mắc cài pha lê.
Răng móm
Răng móm là tình trạng răng bị khớp cắn ngược, răng hàm dưới phủ lên răng hàm trên, làm cho gương mặt bị gãy khi nhìn nghiêng. Không chỉ vậy, răng móm cũng khiến cho việc ăn nhai gặp khó khăn và ảnh hưởng tới thẩm mỹ khuôn mặt. Sử dụng phương pháp niềng răng mắc cài pha lê sẽ giúp răng về đúng vị trí mong muốn, điều chỉnh khớp cắn đều.
Răng lệch lạc
Răng lệch lạc là tình trạng răng mọc xoay, nghiêng, chen chúc, lệch ra ngoài, lệch vào trong,… từ đó làm mất thẩm mỹ, ảnh hưởng không tốt tới khớp cắn và chức năng ăn nhai. Vì vậy cần áp dụng niềng răng mắc cài pha lê để điều chỉnh.
Răng thưa
Răng thưa là tình trạng răng mọc cách nhau ở trên cung hàm, giữa các răng sẽ có các kẽ hở, răng không khít làm gương mặt trông không đẹp, ăn nhai khó khăn. Vì vậy sử dụng phương pháp niềng răng mắc cài pha lê sẽ kéo các răng khít lại với nhai, giúp bạn có hàm răng đều, đẹp.
Thời gian niềng răng mắc cài pha lê
Cũng như các phương pháp niềng răng khác, thời gian niềng răng mắc cài pha lê mất khoảng 12-24 tháng tùy thuộc vào tình trạng sai lệch của khớp cắn răng và sức khỏe của răng miệng. Ngoài ra thời gian niềng răng cũng phụ thuộc nhiều vào độ tuổi niềng răng, tay nghề bác sĩ, máy móc công nghệ.
Phân biệt mắc cài pha lê và mắc cài sứ
Mắc cài sứ và mắc cài pha lê có những điểm tương đồng khiến nhiều người dễ bị nhầm lẫn. Dưới đây là điểm giống và khác nhau của 2 loại mắc cài này để bạn nắm được rõ ràng nhất nhé!
Điểm giống nhau
- Đều mang lại hiệu quả cao cho các trường hợp răng móm, hô, khấp khểnh, sai khớp cắn.
- Thiết kế có sự giống nhau: Cả 2 loại mắc cài đều được gắn trực tiếp lên bề mặt của răng, cùng với hệ thống dây cung được cố định trong rãnh mắc cài. Nhờ quá trình tác động lực liên tiếp lên răng mà răng sẽ được điều chỉnh dần dần về đúng vị trí trên cung hàm. Theo đó, mắc cài pha lê và mắc cài sứ đều gồm có hai loại là mắc cài truyền thống và tự buộc.
- Thời gian niềng răng giống nhau: Cả mắc cài sứ và pha lê đều có thời gian điều trị giống nhau nhau. Tùy theo tình trạng răng miệng, tay nghề bác sĩ, độ tuổi mà thời gian đeo niềng từ 1,5 – 2 năm. Sau khoảng thời gian này bạn sẽ có hàm răng đều đặn như bạn mong muốn.
Điểm khác nhau
Về tính thẩm mỹ
- Mắc cài pha lê có màu trong suốt, vô hình nên rất khó để người đối diện phát hiện ra bạn đang niềng răng. Vì vậy tính thẩm mỹ rất cao.
- Mắc cài sứ có màu tương đồng với màu răng nhưng hiệu quả thẩm mỹ không cao bằng mắc cài pha lê.
Về độ bền chắc
- Mắc cài pha lê có độ bền không cao. Mắc cài dễ dàng bị vỡ nếu bạn ăn đồ quá cứng hoặc có va chạm lực mạnh từ bên ngoài.
- Ngược lại, mắc cài sứ có độ bền chắc rất tốt, khó bị nứt vỡ mỗi khi va đập.
Về lực tác động
Mắc cài pha lê có lực kéo yếu hơn, trong khi đó lực kéo mắc cài sứ luôn ổn định và diễn ra liên tục. Chính vì vậy hiệu quả niềng răng của mắc cài sứ cao hơn.
Về độ tiện lợi
Mắc cài sứ có cải tiến mới với chất liệu không bám màu, bạn có thể thoải mái ăn các đồ ăn có màu mà không cần lo lắng mắc cài bị ố vàng. Việc vệ sinh cũng trở nên dễ dàng hơn nhờ thiết kế bo tròn các cạnh.
Trong khi đó với mắc cài pha lê bạn cần chú ý hơn trong việc ăn uống nếu không muốn mắc cài bị ngả màu.
Nha khoa Thúy Đức – Địa chỉ niềng răng được nhiều người tin tưởng tại Hà Nội
Dù bạn sử dụng loại mắc cài nào thì lựa chọn địa chỉ niềng răng uy tín mới là điều quan trọng nhất để đạt được hiệu quả cao và đảm bảo sự an toàn cho hàm răng. Nha khoa Thúy Đức 64 Phố Vọng đã được thành lập 19 năm, thành công chữa trị cho hơn 7000 ca chỉnh nha từ dễ tới phức tạp do bác sĩ Phạm Hồng Đức trực tiếp thăm khám và điều trị.
- Bác sĩ Đức được hãng Invisalign đánh giá là bác sĩ TOP 1 tại Đông Nam Á và TOP 1 về kinh nghiệm, chuyên môn tại Việt Nam
- Bác sĩ đầu tiên tại Đông Nam Á đạt thứ hạng Blue Diamond trên bản đồ Invisalign toàn cầu
- Bác sĩ có số lượng khách hàng niềng Invisalign nhiều nhất Việt Nam năm 2021
- Bác sĩ thuộc Hiệp hội chỉnh nha Hoa Kỳ AAO
- Bác sĩ thuộc Hiệp hội nắn chỉnh răng thế giới IAO, Hiệp hội chỉnh nha thế giới WFO
- Dịch giả của những cuốn sách chỉnh nha nổi tiếng như 1001 bí kíp lâm sàng trong chỉnh nha (2015), Các ca lâm sàng trong chỉnh nha (2015), Cơ sinh học trong chỉnh nha (2016),…
- Bác sĩ Đức đã có kinh nghiệm điều trị hơn 7000 ca chỉnh nha, được coi là một trong những bác sĩ có số lượng KH niềng răng lớn nhất Hà Nội.
- Là người đầu tiên đưa phương pháp Niềng không nhổ răng F.A.C.E từ nước ngoài về ứng dụng tại Việt Nam, giúp hạn chế tối đa việc nhổ răng thậm chí không cần nhổ răng mà vẫn mang lại hiệu quả điều trị cao nhất.

Nha khoa Thúy Đức không chỉ có bác sĩ Đức tay nghề giỏi, chuyên môn cao mà cơ sở vật chất kỹ thuật, công nghệ đều vô cùng hiện đại, tiên tiến để phục vụ tốt nhất cho quá trình niềng răng của khách hàng.
Thúy Đức là nha khoa đầu tiên tại Việt Nam sở hữu máy quét iTero 5D Plus với công nghệ quét dấu răng nhanh nhất thế giới, giúp biết trước kết quả niềng răng chỉ sau 60s. Bên cạnh đó phòng khám còn đầu tư rất nhiều các loại máy móc hiện đại khác như: máy nhổ răng khôn không đau Piezotome, máy chụp phim X-quang Vatech Pax-i, máy tẩy trắng răng X-Brite,… tất cả với mục đích giúp giảm thiểu đau đớn cho khách hàng, đạt được hiệu quả chỉnh nha nhanh nhất.
Quy trình niềng răng tại Nha khoa Thúy Đức được thực hiện theo đúng quy trình chuẩn của bộ Y tế:
- Bước 1: Tiếp đón khách hàng, chụp phim X-quang và tình trạng răng hiện tại.
- Bước 2: Bác sĩ khám lâm sàng để tìm ra nguyên nhân tình trạng lệch lạc răng.
- Bước 3: Bác sĩ tư vấn lựa chọn các phương pháp niềng răng phù hợp với bạn, lên phác đồ điều trị chi tiết với các dự đoán về tăng chỉnh lực, tốc độ dịch chuyển răng trong từng khoảng thời gian cụ thể. Ký hợp đồng giúp bạn bảo vệ quyền lợi trong trường hợp rủi ro xảy ra.
- Bước 4: Sau khi đồng ý với các phương pháp điều trị của bác sĩ, bạn sẽ được lấy mẫu 2 hàm, để mẫu thạch cao lưu lại tình trạng hàm răng ban đầu.
- Bước 5: Vệ sinh răng miệng trước khi tiến hành niềng răng như đánh bóng, làm sạch, lấy cao răng.
- Bước 6: Bác sĩ sẽ tiến hành gắn mắc cài 1 hàm trước cho bạn (trên hoặc dưới tuỳ case) và gắn nốt hàm còn lại sau 1-2 tuần để bạn làm quen với mắc cài trong miệng. Sau khi gắn 2 hàm và ăn nhai ổn định sẽ tiến hành nhổ răng chỉnh nha (nếu có chỉ định).
- Bước 7: Các bạn sẽ được chụp hình lại hàm răng sau khi gắn mắc cài tại thời điểm ban đầu.
Video quy trình niềng răng chuẩn y khoa tại Nha khoa Thúy Đức
Nếu bạn có bất kỳ thắc mắc nào cần được giải đáp chi tiết hơn về niềng răng, hãy tới trực tiếp Nha khoa Thúy Đức số 64 phố Vọng để được bác sĩ Đức trực tiếp thăm khám và tư vấn cho bạn nhé!
NHA KHOA THÚY ĐỨC – Bác sĩ Phạm Hồng Đức
- Hotline: 096 361 4566 – 093 186 3366
- Địa chỉ: Số 64 phố Vọng, phường Bạch Mai, Hà Nội.
- Giờ làm việc: 8h00 – 19h00 từ thứ 2 đến Chủ Nhật
- Fanpage: https://www.facebook.com/nhakhoathuyduc/
Please Enter Your Facebook App ID. Required for FB Comments. Click here for FB Comments Settings page

