Người xưa ví răng cửa như mặt tiền của ngôi nhà. Bởi nó chiếm một vị trí hết sức quan trọng mà khi nhìn vào người xem sẽ thấy được nét đẹp, sự sang trọng, hiện đại của cả ngôi nhà. Răng cửa là bộ phận quan trọng không chỉ liên quan đến tính thẩm mỹ mà còn ảnh hưởng đến vận mệnh sau này. Để rõ hơn, bài viết sau đây chúng tôi sẽ bật mí cho bạn bí quyết xem tướng răng cửa nhận biết được vận mệnh trong tương lai. Cùng khám phá nhé!
Mục lục
Xem tướng răng cửa to, đều đẹp
Xem tướng răng cửa là một việc làm quan trọng. Bởi nó sẽ giúp bạn nhìn thấy được tương lai mình cần cái gì và khắc phục những khuyết điểm như thế nào. Theo nhân tướng học, người có răng cửa to, đều đẹp thường tính cách khá trung thực, thẳng thắn.

Dù là nam hay nữ, nếu sở hữu tướng răng cửa to và đều đặn luôn hấp dẫn người khác. Họ luôn tự tin về bản thân, bởi có hàm răng cân xứng với khuôn mặt. Ngoài ra, người có răng cửa đẹp thường là mẫu người của gia đình.
Trong xã hội, những người này thường hay quan tâm giúp đỡ mọi người xung quanh. Chính bởi tính cách thân thiện cộng với khả năng giao tiếp tốt nên người có răng cửa đẹp thường được bạn bè yêu mến. Công việc diễn ra hết sức thuận lợi, gặp nhiều may mắn.
Chuyện tình yêu của người có tướng răng cửa to, đẹp luôn êm đềm, ít sóng gió. Nếu hợp tướng phu thê sẽ sớm sinh quý tử đầu lòng.
6 tướng răng cửa xấu, nhiều khuyết điểm
Xem tướng răng cửa không chỉ nhận biết được người có tướng răng đẹp mà còn thấy được những khuyết điểm của người có tướng răng cửa xấu. Dưới đây là một trong những trường hợp điển hình nhất:
1. Tướng răng cửa thụt vào trong
Trái ngược với những người có tướng răng cửa đẹp thì trường hợp răng cửa thụt vào lại mang nhiều tai họa cho chính chủ nhân của nó. Theo nhân tướng học, những người có tướng răng cửa thụt vào thường không hợp tính với cha mẹ. Bởi kiếp trước có thể họ là đối thủ của nhau. Nên kiếp này cha mẹ nói con cái thường không chịu nghe lời. Giữa họ luôn xảy ra những bất đồng, mâu thuẫn ngay cả trong những chuyện nhỏ nhất.

Ngoài ra, những người có tướng răng cửa thụt vào, khuyết hãm còn mang tính cách bảo thủ, gia chủ. Họ chỉ thích theo ý kiến của mình mà không muốn lắng nghe lời khuyên răn từ người khác. Đặc biệt, những người có tướng răng này rất hay ốm vặt, nên cần chú ý đến sức khỏe của bản thân hơn.
Xem thêm: Răng quặp vào trong có niềng được không?
2. Tướng răng cửa hô ra
Những người có tướng răng cửa hô (vẩu) thường có tính cách khá phức tạp. Khi xem tướng răng cửa này, các nhà tướng số thường cho biết họ là những người có mồm mép. Tuy nhiên, họ thường rất cố chấp và không chịu lắng nghe ý kiến từ người khác. Mặc dù những người có tướng răng cửa hô rất giỏi nhưng lại không được lòng mọi người.

Trong công việc, họ ít được quý nhân phù trợ nên thường rất vất vả. Thêm nữa, do mặc cảm với ngoại hình nên những người có tướng răng cửa hô rất ngại giao tiếp với người khác. Do đó, họ đã bị bỏ qua nhiều cơ hội thăng tiến trong tương lai.
Chuyện tình cảm của người răng cửa hô thường khá lận đận. Phải chải qua rất nhiều thăng trầm, sóng gió họ mới tìm được ý chung nhân của mình. Họ cần phải cẩn thận vì đối phương có thể sẽ có người khác bên ngoài.
Đọc thêm: Phương pháp nào cải thiện răng hô hiệu quả?
3. Tướng răng cửa to và hở kẽ(mọc thưa)

Theo tử vi tướng số, những người có răng cửa thưa thường tiêu xài rất hoang phí. Họ không biết cách chi tiêu thế nào cho hợp lý và thường kiếm được bao nhiêu, tiêu bấy nhiêu. Điều đó vô tình đẩy họ đến tình trạng nợ nần.
Người có tướng răng cửa to và hở kẻ thường có rất nhiều bạn bè. Nhưng có nhiều người đến với họ chỉ để lợi dụng do tính cách phóng khoáng mà người có tướng răng này mang lại. Chỉ khi tìm được ý chung nhân của đời mình, những người răng cửa mọc thưa mới biết tích góp hơn.
Cuộc sống hôn nhân của những người này thường lại không được may mắn như mong đợi. Họ luôn không biết kiềm chế cảm xúc của mình và nói những lời làm tổn thương người khác. Điều này khiến đối phương nghĩ rằng họ coi trọng bạn bè hơn gia đình của mình. Bởi thế mà, luôn có những cải vã, mâu thuẫn trong hôn nhân không tìm ra được lời giải.
Ngoài ra, những người này còn xung khắc với cha mẹ ruột của mình. Họ không chịu lắng nghe những ý kiến tốt để hoàn thiện bản thân. Vì vậy, mâu thuần chồng mâu thuẫn khiến cho không khí trong gia đình luôn ngột ngạt, khó chịu.
4. Răng cửa mọc lệch và mẻ
Những người có tướng răng cửa mọc lệch và bị mẻ thường gặp nhiều khó khăn, thử thách trong cuộc sống. Khi xem tướng răng cửa này, các nhà tướng số thường cho biết họ là những người khó tính. Bởi thế mà, rất ít ai có thể chơi thân được với họ.
Bạn bè là thứ có thể giúp ta thành công. Nhưng do không mở lòng nên những người có tướng răng mọc lệch thường đánh mất đi cơ hội thăng tiến của bản thân. Một phần cũng do họ tự ti về ngoại hình nên hay đố kị và ghen ghét với người khác. Điều này vô tình khiến khoảng cách của họ và mọi người trở nên xa hơn. Chỉ cần thay đổi ngoại hình, tương lai sẽ rạng rỡ và mở rộng hơn với những người này.
Đọc: Răng chen chúc, khấp khểnh niềng có hiệu quả không?
5. Răng cửa thỏ
Theo tướng số học, người có răng cửa thỏ thường rất khó thành công trong công việc. Mặc dù rất giỏi về mọi mặt nhưng họ không được coi trọng. Những người này thường bị chi phối bởi cảm xúc nên khó có thể trở thành lãnh đạo.
Chuyện tình duyên của người răng cửa thỏ lại khá suôn sẻ. Họ sẽ sớm gặp được ý chung nhân và cùng nhau xây dựng gia đình. Để cuộc sống của hai vợ chồng êm đềm, người răng cửa thỏ nên quyết đoán hơn trong mọi chuyện.
6. Răng cửa ố vàng, xỉn màu
Theo nhân tướng học, những người có răng cửa to, đều đẹp thường mang vận mệnh tốt. Nếu người có răng cửa to mà bị ố vàng, xỉn màu chứng tỏ người này đang gặp vấn đề về sức khỏe.

Theo các bác sĩ nha khoa thì răng cửa chính là đại diện của tuyến yên. Đây là tuyến có trách nghiệm quản lý nội tiết của cơ thể. Do đó, những người có tướng răng cửa to, đều, đẹp và sáng bóng thường có sức khỏe tốt, làm việc gì cũng dễ thành công.
Có thể bạn muốn biết: 5 tướng răng đẹp ở đàn ông và phụ nữ, cuộc sống thuận lợi, sung túc cả đời
3 cách cải thiện tướng răng cửa xấu để thay đổi vận mệnh
Từ xa xưa, ông cha ta đã đề cao nét đẹp của hàm răng đối với mỗi người. Răng không chỉ đảm nhiệm sứ mệnh là nghiền nát thức ăn mà còn thể hiện nét đẹp của người sở hữu nó. Vì vậy, nếu bạn thuộc các tướng răng cửa xấu kể trên thì nên thay đổi để cuộc sống tươi đẹp hơn. Dưới đây là 3 gợi ý cho bạn:
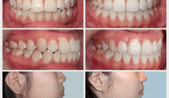
Niềng răng
Niềng răng là một trong những cách cải thiện tướng răng cửa xấu tốt nhất. Phương pháp này được rất nhiều người áp dụng bởi người bệnh không cần phải nhổ răng mà vẫn đảm bảo có một hàm răng đẹp. Ngoài ra, chi phí niềng răng cũng tương đối rẻ, thích hợp với mọi đối tượng. Phương pháp này sẽ sử dụng các loại mắc cài hoặc khay niềng để điều chỉnh răng về theo vị trí mong muốn.

Thông thường, để cải thiện tướng răng cửa xấu như hô, mọc khấp khểnh,…sẽ mất từ 1,5 – 2 năm. Hoặc có thể tùy vào thể trạng và sức khỏe của từng bệnh nhân.
Để xem chi tiết các phương pháp niềng răng hiện nay, bạn có đọc bài viết này
Bọc răng sứ
Bọc răng sứ có khả năng cải thiện được tình trạng răng bị xỉn màu, ố vàng và răng thưa nhẹ.
Ưu điểm của phương pháp bọc răng sứ là thời gian điều trị được rút ngắn còn khoảng từ khoảng 2-3 tiếng/ lần. Sau khi được bọc răng sứ, bạn chỉ cần đến cơ sở chỉnh nha khoảng vài lần để hoàn thiện quá trình thẩm mỹ.
Lớp răng được bọc bên ngoài được làm từ sứ cao cấp có độ cứng và độ bền khá cao. Do đó, sau khi bọc, răng vẫn đảm nhiệm chức năng nhai tốt mà tính thẩm mỹ lại rất vượt trội.
Trám răng
Trám răng cũng là phương pháp cải thiện tướng răng cửa xấu được ưa chuộng. Theo đó, nha sẽ sử dụng những loại vật liệu chuyên dụng trám vào các khe hở trên răng của bạn. Hiện nay các vật liệu trám răng được sử dụng có thể làm từ kim loại hoặc nhựa, tùy theo yêu cầu cũng như mong muốn của mỗi khách hàng mà bác sĩ sẽ áp dụng sao cho phù hợp nhất.
Trám rang thích hợp với những người có tướng răng của hở kẽ. Sau khi trám răng của bạn sẽ được se khít lại, đều và đẹp lên trông thấy.
Đặc biệt, phương pháp này chỉ cần thực hiện trong vòng 15-30 phút giúp bạn tiết kiệm thời gian. Ngoài ra, giá thành rẻ cũng là ưu điểm của phương pháp trám răng này.
Trên đây là chúng tôi đã bật mí cho bạn về bí quyết xem tướng răng cửa để biết được tương lai, vận mệnh của mình. Đồng thời nếu muốn thay đổi số phận để có một cuộc sống như mong muốn hãy đến với Nha Khoa Thúy Đức. Chúng tôi có đội ngũ bác sĩ nha khoa chuyên nghiệp, tận tâm với nghề sẵn sàng giúp bạn lấy lại nụ cười tỏa nắng. Đến với Thúy Đức, khách hàng sẽ được làm răng ở một địa chỉ uy tín và hiện đại bậc nhất Hà Nội. Mọi chi tiết xin liên hệ Hotline: 096 361 4566 – 093 186 3366 để nhận báo giá!
Please Enter Your Facebook App ID. Required for FB Comments. Click here for FB Comments Settings page



