Răng hô hay còn gọi là răng vẩu là tình trạng răng thường gặp đối với nhiều người gây ảnh hưởng tới tính thẩm mỹ và sự hài hòa của tổng quan khuôn mặt, khiến bạn mất tự tin trong việc giao tiếp cũng như trong cuộc sống. Hiện nay có rất nhiều phương pháp chỉnh răng hô rất an toàn và có tính hiệu quả cao, cùng theo dõi để xem phương pháp nào hợp nhất với mình nhé!

Mục lục
Thế nào là răng hô?

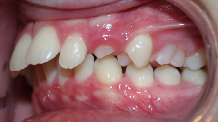
Răng hô còn có tên gọi khác là răng vẩu, đây là tình trạng sai khớp cắn, trong đó tương quan giữa hai hàm răng trên và răng dưới bị sai lệch.
Biểu hiện của răng hô có những dạng như sau:
- Hô cả hai hàm: xương hàm trên nhô ra trước, xương hàm dưới lùi về sau, răng bị mọc lệch lạc, mất tương quan hai hàm trước sau và môi trên không bao phủ được răng
- Hàm trên bị nhô ra phía trước – hàm dưới bình thường
- Hàm dưới bị lùi ra phía sau – hàm trên bình thường
- Kết hợp các trường hợp trên
Cách nhận biết răng hô như thế nào?
Thông thường khi tới các phòng khám nha khoa, bác sĩ thường sẽ quan sát và chẩn đoán bằng mắt thường trước khi sử dụng các bước thăm khám chuyên sâu như lấy dấu mẫu hàm, chụp phim X – quang. Chính vì vậy bạn hoàn toàn có thể quan sát được tình trạng của mình bằng mắt thường, sử dụng gương cũng như kết hợp chụp ảnh.
- Hô hàm là tình trạng bị hô do xương hàm gây ra. Khi một trong hai hàm trên hoặc hàm dưới phát triển quá nhiều so với hàm còn lại hoặc cả hai hàm đều phát triển và đưa ra quá mức so với cấu trúc xương của cả khuôn mặt. Hô hàm không chỉ gây ra sự mất thẩm mỹ cho miệng mà còn mất cân đối cả vùng xương trên của mặt.
- Hô do răng là khi răng mọc lên không song song với phương thẳng đứng mà lại mọc chìa ra ngoài quá mức so với răng hàm dưới.
- Hô răng và hô hàm kết hợp: Đây là tình trạng phức tạp nhất bởi nó là tình trạng hỗn hợp và có đầy đủ các đặc điểm mô tả như phía trên.
Dựa theo những đặc điểm này bạn có thể tự quan sát được khuôn miệng của mình theo các góc nhìn khác nhau. Tuy nhiên để xác định được kết quả chính xác nhất tình trạng răng hô do răng hay do hàm bạn nên tới trực tiếp nha khoa để được bác sĩ đo đạc, chụp phim CT 3D cũng như các thao tác chuyên sâu khác từ đó mới đưa ra được nhận định chính xác nhất.
Nguyên nhân tình trạng răng hô
Răng hô do 2 nguyên nhân chính như sau:
Nguyên nhân nguyên phát (di truyền)
Hầu hết những người đi chữa răng hô đều có người thân như ông bà hoặc bố mẹ cũng gặp trường hợp tương tự. Khi trẻ mới sinh xương hàm trên và xương hàm dưới sẽ có sự sai biệt tự nhiên, tuy nhiên khi trẻ lớn dần lên, sự tăng trưởng xương hàm dưới có cường độ cao hơn sẽ xóa đi sự sai biệt này. Nếu có yếu tố di truyền làm cho xương hàm trên phát triển quá mức hoặc xương hàm dưới kém phát triển sẽ dẫn tới sai khớp cắn hạng II hay còn gọi là hô.
Tình trạng răng hô do di truyền không thể được điều trị khi trẻ còn quá nhỏ vì hiệu quả sẽ không cao và dễ tái phát, đối với trường hợp này chỉ có thể giải quyết bằng việc điều trị nhổ răng hoặc tiến hành phẫu thuật khi xương đã phát triển đầy đủ..
Nguyên nhân thứ phát
Răng hô do nguyên nhân thứ phát thường gặp ở những bạn khi còn nhỏ có thói quen xấu như mút tay, ngậm núm vú giả quá lâu, đẩy lưỡi trong thời gian dài,… gây ảnh hưởng không tốt cho sự phát triển của xương và răng sau này.
Tình trạng này có thể được điều trị sớm bằng việc chỉnh hình can thiệp, loại bỏ sớm các thói quen xấu giúp cho xương và răng phát triển thuận lợi.
Răng hô có thể gây ra hậu quả gì?
Hậu quả đầu tiên của răng hô có thể nhìn thấy rõ bằng mắt thường đó là tính thẩm mỹ trên khuôn mặt. Biểu hiện của răng hô là răng cửa hàm trên chìa ra so với răng cửa hàm dưới. Khi ngậm miệng phần môi trên sẽ không bao phủ được hết răng, trường hợp nặng răng chìa hẳn ra ngoài không khép được miệng, răng hàm trên và hàm dưới không cắn khít được nhau ở vị trí trung tâm làm cho khuôn mặt bị biến dạng khiến bạn mất tự tin khi giao tiếp, bỏ lỡ nhiều cơ hội thành công trong cả công việc và cuộc sống.

Khi các răng mọc không đều đặn sẽ làm sai lệch khớp cắn từ đó dẫn tới việc nhai và xé thức ăn trở nên khó khăn hơn, làm mất cảm giác ngon miệng, lâu dài sẽ ảnh hưởng tới hệ tiêu hóa đặc biệt là dạ dày.
Bên cạnh đó được việc sinh răng miệng gặp khá nhiều rắc rối đối với những người bị răng hô, do hai hàm răng không đều nhau làm cho bàn chải khó làm sạch được các kẽ hở, lâu ngày sẽ tạo thành mảng bám gây tình trạng sâu răng, viêm lợi, xỉn màu răng và hôi miệng.
Các phương pháp điều trị răng hô
Để chữa trị dứt điểm tình trạng răng hô có rất nhiều phương pháp, tùy theo nguyên nhân gây ra mà có phương pháp điều trị đúng đắn nhất.
Chữa răng hô do răng
Răng hô do răng là trường hợp đơn giản và dễ điều trị nhất. Niềng răng là một trong những phương pháp điều trị răng hô phổ biến được ưa chuộng nhất. Phương pháp này dựa trên nguyên lý cơ học, sử dụng lực kéo, co của niềng răng kim loại để đưa răng về vị trí mong muốn.
Đối với phương pháp niềng răng, bạn có lựa chọn một trong 3 phương pháp niềng răng phổ biến nhất dưới đây:
Niềng răng mắc cài kim loại: Là một trong những phương pháp niềng răng lâu đời nhất. Niềng răng mắc cài kim loại sử dụng dây cung và mắc cài được làm từ thép không gỉ có độ bền và cứng chắc cao giúp cho răng dịch chuyển về đúng vị trí trên cung hàm. Phương pháp niềng răng này có thể khắc phục được hầu hết các tình trạng răng hô, móm, lệch lạc từ đơn giản tới phức tạp. Ngày nay với sự phát triển của khoa học công nghệ, các dây cung và mắc cài được thiết kế hiện đại và nhỏ gọn hơn, gờ cạnh được mài nhẵn hơn mang lại cảm giác thoải mải cho người đeo mắc cài. Tuy nhiên bạn cần lưu ý cẩn thận trong quá trình ăn uống và phải vệ sinh răng miệng thật kỹ sau khi ăn xong.

Có 2 loại niềng răng bằng mắc cài kim loại đó là niềng răng bằng mắc cài kim loại truyền thống và niềng răng mắc cài tự động. Niềng răng mắc cài truyền thống sử dụng dây thun để cố định dây cung trên rãnh mắc cài còn mắc cài tự động sử dụng hệ thống dây cung hoạt động theo cơ chế tự động nhanh gọn và tối ưu hơn rất nhiều.
Niềng răng mắc cài sứ: Cũng hoàn toàn giống như niềng răng mắc cài kim loại, điểm khác biệt duy nhất của niềng răng mắc cài sứ là mắc cài có màu trùng với màu răng vì vậy có tính thẩm mỹ cao trong quá trình niềng răng. Niềng răng mắc cài sứ có thể khắc phục tốt những khiếm khuyết về răng hô, răng móm, răng lệch lạc, đảm bảo bạn có một hàm răng đều đẹp và chuẩn khớp cắn.
Niềng răng trong suốt Invisalign là phương pháp niềng răng hiện đại có nguồn gốc từ Mỹ, phương pháp này không cần sử dụng tới mắc cài mà sử dụng các khay niềng trong suốt được thiết kế riêng biệt và duy nhất cho từng khách hàng. Các khay niềng này có thể tự tháo lắp được, rất thoải mái và gần như vô hình, tác động lực lên răng một cách từ từ giúp răng dịch chuyển dần về vị trí mong muốn.

Một lộ trình niềng răng trong suốt Invisalign khách hàng sẽ phải mang từ 20 – 40 khay niềng, thời gian điều trị sẽ phụ thuộc vào tình trạng răng của mỗi người, nếu răng sai lệch nhiều sẽ cần thời gian chữa trị dài hơn, tuy nhiên lưu ý bạn cần mang đủ khay niềng từ 20 – 22h mỗi ngày để đảm bảo tính hiệu quả tốt nhất.
Chữa răng hô do hàm
Răng hô do hàm là trường hợp khó và phức tạp hơn, thông thường bác sĩ sẽ phải can thiệp tới phần xương hàm của khách hàng để điều chỉnh lại cả hàm răng. Mặc dù thời gian thực hiện nhanh chóng tuy nhiên tốn kém khá nhiều chi phí. Vì bạn sẽ cần làm phẫu thuật nên phải chú ý tìm tới các cơ sở y khoa uy tín để có kết quả tốt nhất và an toàn nhất.
Chữa răng hô do răng mọc lệch
Làm răng sứ (Bọc răng sứ) là phương pháp mài răng và bọc các mão sứ giúp cải thiện khuyết điểm răng hô và làm răng đều màu, trắng đẹp. Với phương pháp này, mão răng được chế tạo riêng phù hợp với từng người để đưa vào hàm và lắp cố định vào răng.
Ưu điểm của phương pháp này là làm nhanh chóng, tính thẩm mỹ cao tuy nhiên chi phí sẽ đắt hơn niềng răng, đồng thời khi làm răng sứ bạn sẽ phải mài răng dễ làm răng bị tổn thương về sau này.
Chữa răng hô do cả răng và hàm
Phẫu thuật hàm kết hợp niềng răng được áp dụng trong trường hợp khách hàng vừa bị hô hàm vừa hô do răng. Tùy theo mức độ hô, lệch lạc của răng mà bác sĩ sẽ chỉ định phẫu thuật trước hay niềng trước để có thể cải thiện được tính thẩm mỹ một cách tối đa nhất.
Hô hàm là hiện tượng xương hàm phát triển quá mạnh, phẫu thuật hô hàm là trực tiếp can thiệp vào xương hàm, cắt gọt bớt phần xương hàm thừa ra theo tỷ lệ thích hợp để có được kích thước hàm cân đối nhất với khuôn mặt.
Do phương pháp này là phương pháp can thiệp sâu và có tính phức tạp cao chính vì vậy cần được bác sĩ thăm khám trực tiếp mới có thể đánh giá được một cách chi tiết nhất.
Hỏi đáp: Niềng răng xong bị hô phải làm sao?
Nha khoa Thúy Đức – Địa chỉ chỉnh răng hô hiệu quả
Cơ sở vật chất kỹ thuật
Nha khoa Thúy Đức là một trong những địa chỉ niềng răng uy nhất tại Hà Nội, được đông đảo khách hàng tin tưởng và lựa chọn làm người bạn đồng hành trong hành trình niềng răng.
Nha khoa luôn không ngừng nâng cấp cơ sở vật chất kỹ thuật, máy móc công nghệ như máy chụp phim CT, Panorama, máy quét dấu răng iTero 5D Plus…cũng như tay nghề của bác sĩ để mang tới những trải nghiệm tốt nhất cho khách hàng.
Đội ngũ y bác sĩ, tư vấn viên luôn nhiệt tình, thân thiện, hỗ trợ khách hàng mọi lúc mọi nơi. Không chỉ vậy, khi tới thăm khám tại Thúy Đức, trong thời gian chờ đợi các khách hàng có thể tranh thủ đọc sách truyện, uống một tách trà, nghe nhạc hay lướt macbook để bản thân cảm thấy thoải mái, thư giãn hơn.
Bác sĩ Phạm Hồng Đức – Linh hồn của Nha khoa Thúy Đức
Bác sĩ Phạm Hồng Đức được đánh giá là một trong những bác sĩ giỏi nhất về chuyên ngành chỉnh nha, đã điều trị thành công cho hơn 6500 ca niềng không nhổ răng từ các trường hợp răng sai lệch nhẹ tới trường hợp răng hô, khấp khểnh nặng.
Bác sĩ Đức AAO là bác sĩ đat chứng chỉ AAO của Hiêp hội chỉnh nha Hoa Kỳ, có thời gian học tập và tu nghiệp chuyên sâu về chỉnh nha tại nước ngoài vì vậy bác sĩ có những kỹ thuật chỉnh nha riêng, biết vận dụng máy móc và công nghệ tiên tiến nhất trên thế giới để mang lại hiệu quả tốt cho khách hàng.

Sau quá trình dài học tập và nghiên cứu chuyên sâu về chỉnh nha tại nước ngoài, bác sĩ Đức đã dành được rất nhiều các danh hiệu và thành tựu đáng nể:
- Bác sĩ Đức được hãng Invisalign đánh giá là bác sĩ TOP 1 tại Đông Nam Á và TOP 1 về kinh nghiệm, chuyên môn tại Việt Nam
- Bác sĩ đầu tiên tại Châu Á đạt thứ hạng Red Diamond trên bản đồ Invisalign toàn cầu
- Bác sĩ có số lượng khách hàng niềng Invisalign nhiều nhất Việt Nam năm 2021
- Bác sĩ thuộc Hiệp hội chỉnh nha Hoa Kỳ AAO
- Bác sĩ thuộc Hiệp hội nắn chỉnh răng thế giới IAO, Hiệp hội chỉnh nha thế giới WFO
- Dịch giả của những cuốn sách chỉnh nha nổi tiếng như 1001 bí kíp lâm sàng trong chỉnh nha (2015), Các ca lâm sàng trong chỉnh nha (2015), Cơ sinh học trong chỉnh nha (2016),…
- Bác sĩ Đức đã có kinh nghiệm điều trị hơn 7000 ca chỉnh nha, được coi là một trong những bác sĩ có số lượng KH niềng răng lớn nhất Hà Nội.
- Là người đầu tiên đưa phương pháp Niềng không nhổ răng F.A.C.E từ nước ngoài về ứng dụng tại Việt Nam, giúp hạn chế tối đa việc nhổ răng thậm chí không cần nhổ răng mà vẫn mang lại hiệu quả điều trị cao nhất.
Với tay nghề chuyên môn cao, kinh nghiệm lâu năm, bác sĩ Đức của Nha khoa Thúy Đức sẽ thăm khám và tư vấn cho bạn phương pháp chỉnh răng hô phù hợp nhất, giúp bạn có được kết quả ưng ý và an toàn nhất.
————————————
NHA KHOA THÚY ĐỨC – Bác sĩ Phạm Hồng Đức
Hotline: 035 866 9399 – 093 186 3366
Địa chỉ: Số 64 phố Vọng, phường Bạch Mai, Hà Nội.
Giờ làm việc: 8h00 – 19h00 từ thứ 2 đến Chủ Nhật
Fanpage: https://www.facebook.com/nhakhoathuyduc/
Please Enter Your Facebook App ID. Required for FB Comments. Click here for FB Comments Settings page

