Đóng khoảng là một giai đoạn quan trọng và cần đặc biệt chú ý trong quá trình niềng răng. Vậy đóng khoảng trong niềng răng là gì và có vai trò như thế nào? Chúng ta sẽ cùng đi tìm hiểu về giai đoạn này nhé!

Mục lục
Niềng răng gồm những giai đoạn nào?
Quá trình niềng răng kéo dài từ 1 – 2 năm và gồm có nhiều giai đoạn khác nhau. Mỗi giai đoạn sẽ tương ứng với từng kỹ thuật để đạt được mục đích cuối cùng là đưa răng về vị trí đúng trên cung hàm. Trong suốt khoảng thời gian niềng răng, bác sĩ sẽ cần theo sát từng giai đoạn để kiểm soát, điều chỉnh nhằm mang lại hiệu quả như mong muốn với hàm răng thẳng, khớp cắn chuẩn.
Sẽ có 5 giai đoạn trong quá trình niềng răng chỉnh nha như sau:
Giai đoạn làm thẳng răng
Làm thẳng răng là giai đoạn đầu tiên, là bước mở đầu cho hành trình niềng răng. Sau khi đã có phác đồ điều trị cụ thể, bác sĩ sẽ gắn mắc cài lên răng và bắt đầu siết lực trên mắc cài và dây cung tạo lực kéo để làm thẳng răng.
Tùy theo tình trạng răng của mỗi người mà giai đoạn này có thể kéo dài từ 2 – 6 tháng. Trong thời gian đầu khi mới siết dây cung, bạn sẽ có cảm giác đau nhức và ê răng, tuy nhiên nó sẽ chỉ kéo dài trong khoảng vài ngày đầu, sau đó bạn có thể ăn uống như bình thường.
Giai đoạn đóng khoảng

Đây là giai đoạn kéo răng để làm khít các khoảng trống đối với những bạn có chỉ định phải nhổ răng trước đó. Kỹ thuật này được thực hiện khi chân răng và trục răng đã tương đối đều. Thời gian đóng khoảng có thể kéo dài từ 6 – 8 tháng tùy theo tốc độ dịch chuyển của răng. Bạn sẽ nhận rõ được sự thay đổi của răng và khuôn mặt trong giai đoạn này: răng hô sẽ được kéo lùi lại, răng móm sẽ kéo răng ra ngoài, răng khấp khểnh sẽ đều đặn đúng vị trí.
Giai đoạn điều chỉnh khớp cắn
Đây là giai đoạn có quyết định lớn tới khả năng ăn nhai của người niềng răng sau này. Bạn sẽ được bác sĩ hướng dẫn đeo chun để đóng khớp giữa hai hàm. Nó có thể diễn ra trong thời gian từ 2 – 8 tuần.
Giai đoạn ổn định chân răng
Đây là giai đoạn có tính quan trọng không kém các giai đoạn trên, bởi khi răng đã được di chuyển tới vị trí mới sẽ cần có thời gian để ổn định và trở nên chắc chắn trước khi tháo mắc cài. Sau khi đã tháo niềng, bạn sẽ tiếp tục đeo hàm duy trì để giữ răng không bị chạy lại vị trí cũ, thời gian đeo hàm sẽ tùy thuộc vào từng trường hợp, nên bằng với thời gian đeo mắc cài. Trong 6 tháng đầu bạn cần đeo liên tục sau đó có thể dãn dần ra.
Giai đoạn đóng khoảng trong niềng răng
Giai đoạn đóng khoảng là giai đoạn quan trọng nhất trong quá trình niềng răng, với mục đích dịch chuyển răng về vị trí như mong muốn. Nó quyết định lớn tới thẩm mỹ hàm răng và khuôn mặt sau quá trình điều trị. Ở giai đoạn này, dây cung sẽ được thay thế bằng dây Stainless Steel để tăng độ cứng cũng như lực siết trong quá trình niềng răng.
Thông thường, kỹ thuật đóng khoảng được thực hiện như sau:
- Kéo lùi răng trước ra sau (được áp dụng trong trường hợp răng hô): Bác sĩ sẽ thực hiện kéo lùi răng về phía sau để cải thiện tình trạng hô vẩu. Các răng trước sẽ được kéo về sau bằng cách sử dụng chun chuỗi hoặc lò xo có hai móc kéo mắc từ khối răng sau vào mắc cài ở răng trước để kéo lùi răng về sau. Chun chuỗi sẽ được thay sau 2 – 3 tuần hoặc thay lò xo kéo sau 4 – 6 tuần.
- Kéo các răng sau ra trước (áp dụng với trường hợp răng móm hay còn gọi là khớp cắn ngược): Kỹ thuật này tương tự như kéo lùi răng trước ra sau, nhưng ngược lại ở chỗ sẽ buộc cố định các khối răng trước và kéo từng răng sau ra trước.
- Kết hợp đồng thời kéo răng trước ra sau và kéo răng sau ra trước: Bác sĩ sẽ tiến hành buộc cố định đồng thời cả nhóm răng sau và răng trước thành từng khối, sau đó kéo 2 khối đóng khoảng bằng lò xo hoặc chun chuỗi.
Trong quá trình đóng khoảng, di chuyển tịnh tiến là di chuyển được mong muốn nhất, tức là cả thân răng và chân răng di chuyển cùng lúc tới vị trí mong muốn. Bởi nếu chỉ có thân răng di chuyển còn chân răng vẫn đứng yên (hay còn gọi là nghiêng răng) thì sẽ rất dễ bị tái phát sau khi tháo niềng, xuất hiện lại khoảng hở do răng di chuyển về vị trí cũ.
Đóng khoảng trong niềng răng được thực hiện như thế nào?
Khoảng nhổ răng được tận dụng để kéo lùi răng trước, giảm hô móm. Khoảng trống nhổ răng này cần được kéo khít hoàn toàn sau khi kết thúc quá trình chỉnh nha. Dưới đây là 3 phương pháp đóng khoảng nhổ răng:
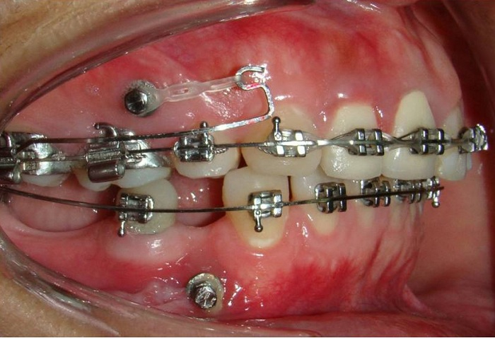
Sử dụng minivis

Minivis là những chiếc ốc vít nhỏ, được cắm sâu vào trong xương hàm tạo điểm neo giữ các khí cụ khác như lò xo, thun chuỗi,… để kéo khít khoảng trống khi nhổ răng.
Minivis là lựa chọn tối ưu trong các trường hợp điều trị hô, móm, khớp cắn sâu cần đưa nhóm răng cửa ra trước hoặc lùi về sau. Kỹ thuật nắn chỉnh răng của bác sĩ kết hợp với minivis sẽ giúp việc kiểm soát lực kéo cân bằng và chính xác hơn rất nhiều. Việc sử dụng minivis giúp đơn giản hóa quá trình chỉnh nha, không cần phải thiết kế hệ thống đặt lực phức tạp như trước kia. Vị trí đặt minivis có thể ở giữa các răng, hàm trên hay hàm dưới phụ thuộc vào từng trường hợp.
Đọc thêm: Quy trình và lưu ý khi gắn minivis
Quá trình cắm vis sẽ không có cảm giác đau nhức do bạn đã được gây tê trước khi tiến hành cắm. Sau khi thuốc tê tan hết bạn sẽ hơi ê nhức trong 1 – 2 ngày đầu chứ không quá đau như nhiều người vẫn nghĩ. Ngoài ra bạn cũng sẽ được bác sĩ kê thuốc giảm đau, viêm giúp giảm đau hiệu quả nhất.
Hỏi đáp: Gắn minivis bị sưng viêm phải làm gì?
Sử dụng chun đóng khoảng
Chun chỉ được sử dụng khi đóng những khoảng trống nhỏ. Ví dụ trong trường hợp răng chen chúc nhiều, sau khi đã được sắp đều thì chỉ còn một ít khoảng nhổ răng. Lúc này bác sĩ sẽ dùng chun chuỗi để đóng nốt các khoảng còn lại.
Sử dụng móc kéo

Móc kéo có nhiều loại, tùy theo mục đích đóng khoảng nhổ răng mà bác sĩ sẽ sử dụng loại phù hợp. Nếu dùng móc sẽ không cần tới minivis. Tuy nhiên có một số loại móc có thể gây vướng víu làm cho người niềng răng cảm thấy khó chịu. Tuy nhiên bạn cũng đừng lo lắng quá vì chỉ sau vài ngày cảm giác này sẽ biến mất.
Giai đoạn đóng khoảng diễn ra trong bao lâu?
Thông thường, giai đoạn đóng khoảng kéo dài từ 6 – 8 tháng tùy theo tình trạng mỗi người. Nó phụ thuộc vào một số yếu tố khác nữa như sau:
- Tuổi tác người niềng răng: Tuổi càng cao, xương càng cứng chắc nên thời gian dịch chuyển răng sẽ lâu hơn.
- Khí cụ: Niềng răng tại các cơ sở uy tín có khí cụ chỉnh nha hiện đại, có nguồn gốc xuất xứ rõ ràng sẽ giúp quá trình đóng khoảng diễn ra nhanh chóng.
- Cơ chế đóng khoảng: Nếu sử dụng chun chuỗi kéo khoảng sẽ lâu hơn so với dùng móc.
- Vị trí và mật độ của các răng xung quanh: Ví dụ răng dịch chuyển là răng năng thì thời gian đóng khoảng sẽ lâu hơn các răng khác vì thân răng nanh cao và dài hơn răng khác.
Một số vấn đề có thể gặp phải trong giai đoạn đóng khoảng
Bị ê nhức trong quá trình răng di chuyển
Đây là tình trạng rất thường gặp, bởi lúc này mới chỉnh lực nên răng sẽ bị ê nhức và buốt hơn bình thường. Nếu quá đau bạn có thể sử dụng thuốc giảm đau hoặc các phương pháp tự nhiên như chườm nóng, chườm lạnh, ăn các món ăn lỏng như cháo, súp, nước sinh tố để hạn chế lực ăn nhai làm cho cơn đau nhức trở nên khó chịu hơn.
Đọc thêm: Ê nhức răng khi niềng nên làm thế nào?
Lò xo, móc bị tì vào nướu, lợi gây xước
Thông thường sau khi đặt lò xo, móc, chun, bác sĩ sẽ bảo bạn cử động môi má để xem có thoải mái hay không. Nếu bị cộm vướng ở đâu bạn hãy nhờ bác sĩ điều chỉnh lại ngay nhé.

Có một số trường hợp sau 2 – 3 ngày mới bị lò xo, móc, chun tì vào niêm mạc lợi gây đau. Bạn hãy dùng sáp chỉnh nha bọc lên trên các móc sắt hoặc sử dụng bông gòn che phần lợi bị cọ sát để giảm đau.
Sau khoảng một tuần khi môi má đã quen với sự xuất hiện của những khí cụ này bạn sẽ không còn cảm thấy đau nhức nữa. Tuy nhiên nếu nó gây khó chịu nhiều, chảy máu,… bạn hãy tới nha khoa để được bác sĩ kiểm tra và điều chỉnh lại.
Răng bị lung lay nhẹ
Răng đang trong quá trình di chuyển nên bị lung lay là hoàn toàn bình thường. Tuy nhiên nếu sau một thời gian khi khoảng trống đã được đóng lại mà răng vẫn bị lung lay kèm đau nhức thì bạn cần tới nha khoa ngay để được bác sĩ kiểm tra.
Dây cung thừa đâm vào má
Khi răng dịch chuyển và khoảng trống được co lại thì dây cung rất dễ bị thừa và đâm vào má. Bạn sẽ cảm thấy khó chịu, thậm chí bị xước gây đau nhức. Bạn có thể liên hệ với bác sĩ điều trị để hẹn lịch tới cắt phần dây cung thừa này nhé!
Trên đây là những kiến thức cần biết về giai đoạn đóng khoảng trong niềng răng chỉnh nha. Hy vọng qua bài viết này giúp bạn an tâm hơn khi thực hiện niềng răng. Bạn chỉ cần chú ý ăn uống hợp lý và vệ sinh đúng cách để thời gian đóng khoảng dễ chịu và đạt hiệu quả cao nhất.
Please Enter Your Facebook App ID. Required for FB Comments. Click here for FB Comments Settings page

