Chụp X – quang răng là một trong những bước quan trọng cần phải có trước khi tiến hành niềng răng. Vậy vai trò của việc chụp X – quang răng là gì? Cần lưu ý gì khi chụp X – quang răng? Cùng Nha khoa Thúy Đức tìm hiểu ngay trong bài viết này nhé!
Mục lục
- Chụp X – quang răng là gì? Tại sao cần chụp X – quang khi niềng?
- Tìm hiểu các kỹ thuật chụp X – quang răng hiện nay
- Chụp X – quang răng có đau không?
- Những lưu ý khi thực hiện chụp X – quang trước khi niềng răng
- Quy trình chụp phim X – quang trước khi niềng răng
- Địa chỉ chụp X – quang trước khi niềng răng uy tín tại Hà Nội
Chụp X – quang răng là gì? Tại sao cần chụp X – quang khi niềng?
Ngoài chụp ảnh ngoài mặt, trong miệng, khám trực tiếp thì chụp X-quang là bước tối quan trọng để bác sĩ có thể phân tích và đưa ra phương án điều trị phù hợp nhất!
Hiểu một cách đơn giản, chụp X – quang răng là kỹ thuật chẩn đoán hình ảnh giúp bác sĩ theo dõi tình trạng khoang miệng, dễ dàng phát hiện ra những bất thường của răng, xương hàm hay các mô mềm.
Vì phim chụp X-quang toàn hàm và mặt nghiêng sẽ cho thấy các vấn đề răng đang gặp phải mà mắt thường không nhìn thấy được như vị trí của chân răng, tương quan của 2 hàm, biết chính xác tình trạng hô/móm do hàm hay do răng và các bệnh lý mà răng đang gặp phải.


Hình ảnh trên phim chụp X – quang sẽ cho thấy các khoang hở cũng như cấu trúc răng ẩn như răng khôn mọc lệch, mọc ngầm, răng sâu, thậm chí là các khối u bất thường. Bên cạnh đó kết quả trên phim chụp cũng cho hình ảnh rõ nét về chân răng và tủy, từ đó giúp bác sĩ theo dõi được sự hiệu quả sau quá trình điều trị nha khoa.
- Khi cần kiểm tra và phát hiện những vấn đề làm răng tổn thương như sâu răng, gãy vỡ răng, tổn thương về xương hàm,…
- Giúp phát hiện răng mọc lệch, mọc ngầm, răng mọc xuyên vào nướu
- Phát hiện những bất thường có thể hình thành trong khoang miệng như khối u hoặc các loại mụn mọc ở nướu
- Hỗ trợ bác sĩ trong quá trình phẫu thuật tủy, nhổ răng hoặc trồng răng implant
- Hỗ trợ quá trình niềng răng
- Theo dõi hiệu quả sau quá trình điều trị nha khoa
Trước khi thực hiện niềng răng, bác sĩ sẽ cần lên phác đồ điều trị cụ thể đối với từng trường hợp răng của khách hàng. Tuy nhiên để lên được phác đồ một cách chính xác nhất và có kế hoạch điều trị hợp lý, bác sĩ sẽ cần phải nắm rõ được đặc điểm xương hàm, trục răng, độ sai lệch khớp cắn cũng như độ cứng chắc của răng. Chính vì vậy việc chụp X – quang vô cùng cần thiết. Thông qua hình ảnh phim chụp X – quang cùng với hình ảnh thăm khám ngoài răng miệng, ngoài mặt, dấu mẫu hàm bác sĩ mới có thể đưa ra những phán đoán chính xác nhất về tình trạng răng, hướng di chuyển của răng khi đeo niềng. Từ đó đưa ra phác đồ điều trị cụ thể phù hợp với từng người.
Ngoài ra, quá trình niềng răng cũng khá dài, trung bình từ 1 – 2 năm vì thế chụp X – quang cũng là cách để bạn có cái nhìn toàn diện hơn cho những thay đổi của mình và thấy được hiệu quả trong thời gian niềng răng.
Đọc thêm: Lưu ý cần biết trước và sau niềng răng
Tìm hiểu các kỹ thuật chụp X – quang răng hiện nay
Hiện nay có hai kỹ thuật chụp X – quang răng thường được sử dụng để niềng răng đó là chụp X – quang toàn hàm và chụp X – quang mặt nghiêng.
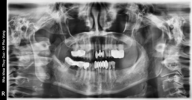
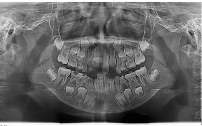
Chụp X – quang răng toàn hàm: Phim chụp X – quang toàn hàm sẽ được bác sĩ sử dụng để đánh giá tổng quan về các mối liên hệ giữa răng, xương hàm và hệ thống dây thần kinh mọc xung quanh răng. Bên cạnh đó cũng giúp bác sĩ xác định được tình trạng răng mọc ngầm dưới nướu, hoặc răng khôn mọc lệch để có phương án điều trị tốt nhất.
Chụp X – quang răng mặt nghiêng: Thông qua phim chụp nghiêng, bác sĩ sẽ phân tích các góc độ về xương, răng, mô mềm, đánh giá được sự tương quan giữa hai hàm trên dưới, giữa hàm và răng cũng như cả mối tương quan với xương sọ.

Như vậy, chụp X – quang răng khi niềng răng là chỉ định rất quan trọng và bắt buộc phải thực hiện để giúp bác sĩ chẩn đoán, lên kế hoạch và điều trị niềng răng được hiệu quả nhất.
Chụp X – quang răng có đau không?
Với những người chưa từng chụp X – quang răng bao giờ thường sẽ lo lắng không biết chụp X – quang có đau không? Trên thực tế việc chụp X – quang răng vô cùng đơn giản và không hề gây ra bất cứ sự khó chịu nào. Chỉ sau khoảng một – 2 phút là bạn đã có kết quả phim chụp X – quang của mình, có thể thấy được tổng quát hình dáng cũng như tình trạng răng của mình. Trong quá trình chụp chỉ cần bạn thả lỏng cơ thể, không quá căng thẳng để chất lượng phim chụp được rõ nét nhất. Điều này cũng giúp bác sĩ chẩn đoán dễ dàng và chính xác hơn.
Những lưu ý khi thực hiện chụp X – quang trước khi niềng răng
Có thể nói chụp X – quang răng là phương pháp chẩn đoán rất đơn giản, nhanh chóng, cũng không mất nhiều thời gian để thực hiện tuy nhiên trên thực tế tia X có khả năng gây nhiễm xạ, nếu tiếp xúc trong một thời gian dài có thể gây ảnh hưởng không tốt tới sức khỏe. Do đó khi chụp X – quang bạn cần được bảo vệ bởi áo chì nhằm hạn chế tối đa sự tiếp xúc trực tiếp giữa tia X và cơ thể, bên cạnh đó nghe theo mọi sự chỉ định của kỹ thuật viên chụp X – quang.
Tuy nhiên bạn không cần quá lo lắng bởi lượng tia X trong y tế được sử dụng rất nhỏ và hoàn toàn được kiểm soát. Dưới đây là một số lưu ý khi chụp X – quang để đảm bảo an toàn:
- Tuân thủ theo mọi hướng dẫn của kỹ thuật viên chụp X – quang trong nha khoa, tháo mọi vật dụng bằng kim loại trên người trước khi bước vào phòng chụp.
- Mặc áo chì để hạn chế tối đa mọi sự tiếp xúc trực tiếp giữa tia X và cơ thể.
- Đối với trường hợp đang mang thai: Cần thông báo ngay cho bác sĩ để bác sĩ xem xét tới mức độ cần thiết có phải chụp hay không, bởi lẽ tia X dù ít nhưng vẫn không hề tốt cho sức khỏe của mẹ và bé. Trong trường hợp bạn bắt buộc phải chụp X – quang thì bác sĩ sẽ có biện pháp bảo vệ an toàn tối đa cho bạn.
- Đối với trẻ em: Trẻ em cũng sẽ cần có chỉ định chụp X – quang để xác định tình trạng răng mọc lệch, sai khớp cắn cũng như sâu răng để có biện pháp điều trị tức thời, tránh lây lan sang các răng khác.
Còn nếu bạn đã có hình ảnh răng chụp X – quang trong khoảng thời gian gần đây rồi thì sẽ không cần chụp X – quang nữa mà có thể sử dụng lại phim đã chụp trước đó.
Quy trình chụp phim X – quang trước khi niềng răng
Quá trình chụp X – quang răng được thực hiện theo các bước dưới đây:
Trước khi chụp: Bạn sẽ được mặc áo chì hoặc đeo tạp dề chỉ để ngăn chặn ảnh hưởng của tia X tới những bộ phận khác của cơ thể. Bên cạnh đó vùng cổ sẽ được che lại bằng vải Thyroid shield hoặc cổ chì giúp bảo vệ tuyến giáp khỏi ảnh hưởng xấu của tia X.
Khi thực hiện chụp X – quang: Ban đầu kỹ thuật viên sẽ yêu cầu bạn ngậm bìa cứng hoặc tấm bìa nhựa có tác dụng giữ phim X – quang cố định khi chụp. Máy chụp X – quang sẽ có máy ảnh bao quanh đầu để chụp hình răng khi bạn ngồi hoặc đứng.
Hiện nay với sự phát triển của công nghệ nha khoa, phim X – quang truyền thống đang dần được thay thế bằng các thiết bị kỹ thuật số như máy cảm biến điện tử. Với thiết bị này, hình ảnh chụp sẽ được lưu trữ ngay trên máy tính và hoàn toàn có thể theo dõi trực tiếp qua màn hình. Có thể nói so với phương pháp chụp X – quang truyền thống thì chụp ảnh bằng thiết bị kỹ thuật số sẽ sử dụng tia bức xạ thấp hơn.
Sau khi chụp: Kết thúc quá trình chụp X – quang, bạn cởi bỏ áo chì và chờ bác sĩ xem kết quả.

Xem thêm: Quy trình niềng răng gồm những bước nào?
Địa chỉ chụp X – quang trước khi niềng răng uy tín tại Hà Nội
Lựa chọn được địa chỉ nha khoa uy tín có thiết bị máy móc hỗ trợ hiện đại sẽ đảm bảo an toàn và cho bạn kết quả chính xác nhất. Nha khoa Thúy Đức là một trong những địa chỉ nha khoa lâu đời và được nhiều người tin tưởng.

- Thành lập từ năm 2006 bởi Tiến sĩ Phạm Văn Việt – nguyên trưởng khoa Răng – Hàm – Mặt bệnh viện Hữu nghị Việt Xô.
- Có máy chụp X – quang VATECH Pax-i – một trong các phòng khám nha khoa đầu tiên ở Hà Nội sở hữu công nghệ chụp nha khoa panorama toàn diện và hiện đại
- Máy chụp Cone Beam CT sử dụng công nghệ hiện đại cho hình ảnh 3 chiều của toàn bộ hàm răng chỉ thông qua 1 lần quét duy nhất. Hình ảnh từ máy CT Cone Beam sẽ giúp bác sĩ có phác đồ điều trị chi tiết nhất.
- Đội ngũ bác sĩ tay nghề cao
- Dịch vụ chăm sóc khách hàng chuyên nghiệp
Ngoài ra khi tới niềng răng, bạn sẽ được điều trị trực tiếp bởi bác sĩ Phạm Hồng Đức
- Bác sĩ Đức được hãng Invisalign đánh giá là bác sĩ TOP 1 tại Đông Nam Á và TOP 1 về kinh nghiệm, chuyên môn tại Việt Nam
- Bác sĩ đầu tiên tại Châu Á đạt thứ hạng Red Diamond trên bản đồ Invisalign toàn cầu
- Bác sĩ có số lượng khách hàng niềng Invisalign nhiều nhất Việt Nam năm 2021
- Bác sĩ thuộc Hiệp hội chỉnh nha Hoa Kỳ AAO
- Bác sĩ thuộc Hiệp hội nắn chỉnh răng thế giới IAO, Hiệp hội chỉnh nha thế giới WFO
- Dịch giả của những cuốn sách chỉnh nha nổi tiếng như 1001 bí kíp lâm sàng trong chỉnh nha (2015), Các ca lâm sàng trong chỉnh nha (2015), Cơ sinh học trong chỉnh nha (2016),…
- Bác sĩ Đức đã có kinh nghiệm điều trị hơn 7000 ca chỉnh nha, được coi là một trong những bác sĩ có số lượng KH niềng răng lớn nhất Hà Nội.
- Là người đầu tiên đưa phương pháp Niềng không nhổ răng F.A.C.E từ nước ngoài về ứng dụng tại Việt Nam, giúp hạn chế tối đa việc nhổ răng thậm chí không cần nhổ răng mà vẫn mang lại hiệu quả điều trị cao nhất.
Như vậy việc chụp X – quang rất cần thiết và quan trọng trước khi niềng răng. Tuy nhiên để đảm bảo an toàn và có hiệu quả cao nhất, bạn hãy lựa chọn cơ sở nha khoa uy tín với trang thiết bị hiện đại nhất nhé!
Please Enter Your Facebook App ID. Required for FB Comments. Click here for FB Comments Settings page

